
A uro-oncologia é um campo vasto e de extrema importância na prática médica. Por isso, precisamos nos aprofundar em dois dos tópicos mais relevantes: o Carcinoma de Células Renais (CCR) e o Câncer de Bexiga.
Carcinoma de Células Renais (CCR)
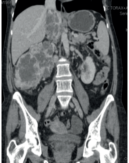
O câncer de rim é a neoplasia urológica mais letal, principalmente porque seu diagnóstico costuma ocorrer em estágios avançados.
Epidemiologia
O CCR abrange um grupo de tumores com diferentes subtipos histológicos e prognósticos.
- Tipos Histológicos Principais:
- Tumor de Células Claras (80%): É o mais comum, geralmente se apresenta como uma massa circunscrita em exames de imagem e possui o pior prognóstico.
- Carcinoma Papilar (10-15%): Frequentemente multicêntrico e associado a pacientes com Doença Renal Crônica (DRC) terminal.
- Tumor Cromófobo (5%): Apresenta um bom prognóstico.
- Carcinoma Medular Renal: Um tipo raro e extremamente agressivo que afeta jovens, com forte associação à anemia falciforme e mortalidade próxima de 100%.
- Diferenciação Sarcomatoide: Um achado histopatológico presente em cerca de 5% dos CCRs que indica crescimento agressivo e metástases precoces.

- Fatores de Risco:
- Tabagismo.
- Hipertensão Arterial Sistêmica (HAS).
- Obesidade.
- Doença Renal Crônica (incluindo pacientes em diálise).
- Síndromes familiares (ex: Von Hippel-Lindau, Esclerose Tuberosa).
Qual o quadro clínico e como fazer o diagnóstico?
Até 60% dos casos são diagnosticados incidentalmente durante exames de imagem para outras condições. Quando presentes, os sintomas geralmente indicam doença avançada.
- Tríade Clássica (presente em <30% dos casos):
- Dor lombar.
- Massa palpável.
- Hematúria.
- Síndromes Paraneoplásicas: HAS, anemia, febre de origem indeterminada e a Síndrome de Stauffer (disfunção hepática não metastática) são achados possíveis.
- Diagnóstico por Imagem:
- A Tomografia Computadorizada (TC) de abdome e pelve com contraste é o padrão-ouro para diagnóstico e estadiamento.
- A Ressonância Magnética (RM) é uma alternativa importante em caso de alergia ao contraste iodado, para avaliar trombose venosa tumoral ou para diferenciar lesões císticas complexas.

A Classificação de Bosniak para Lesões Císticas
A classificação de Bosniak é fundamental para guiar a conduta em lesões císticas renais encontradas na TC.
- Bosniak 1 e 2: Cistos simples, considerados benignos (0% de malignidade), não necessitam de seguimento.
- Bosniak 2F (“F” de Follow-up): Cistos com algumas septações finas ou microcalcificações. Possuem baixo risco de malignidade (cerca de 5%) e exigem acompanhamento com exames de imagem (geralmente TC em 6 meses).
- Bosniak 3: Lesões com septos espessos ou realce pelo contraste. O risco de malignidade é de aproximadamente 50%, e a recomendação é o tratamento cirúrgico.
- Bosniak 4: Lesões císticas com componentes sólidos e realce pelo contraste. São consideradas 100% malignas até prova em contrário, indicando tratamento cirúrgico.

Como fazer o estadiamento e o tratamento?
O tratamento do CCR é eminentemente cirúrgico, visto que são tumores quimio e radiorresistentes.
- Estadiamento (TNM Simplificado):
- T1: Tumor ≤ 7 cm, restrito ao rim.
- T2: Tumor > 7 cm, restrito ao rim.
- T3: O tumor invade grandes veias ou o tecido perirrenal, mas não ultrapassa a fáscia de Gerota.
- T4: O tumor invade além da fáscia de Gerota ou a glândula adrenal ipsilateral.
- Modalidades de Tratamento:
- Vigilância Ativa ou Terapias Ablativas: Opções para tumores pequenos (< 3 cm) em pacientes com comorbidades ou baixo status performance.
- Nefrectomia Parcial: É o tratamento padrão para tumores T1, visando preservar a função renal.
- Nefrectomia Radical: Indicada para tumores T2 ou maiores, ou quando a cirurgia parcial não é tecnicamente viável.
- Cirurgia Citorredutora: Em pacientes com doença metastática, a remoção do tumor primário pode aumentar a sobrevida, especialmente quando associada a terapia-alvo.

Câncer de Bexiga (Carcinoma Urotelial)
O câncer de bexiga origina-se no urotélio, o epitélio que reveste o trato urinário desde a pelve renal até a bexiga. A distinção fundamental para prognóstico e tratamento é se o tumor invade ou não a camada muscular (músculo detrusor).

Epidemiologia e Fatores de Risco
- Tabagismo: É o principal fator de risco.
- Exposição Ocupacional: Contato com aminas aromáticas em indústrias de corantes, borracha e petroquímicas.
- Radioterapia Pélvica: Tratamento prévio para outras neoplasias pélvicas.
- Esquistossomose: Relevante em algumas regiões do mundo, como o Egito, mas não é um fator típico no Brasil.
Quadro Clínico e Investigação
- Hematúria: É o sinal de alerta cardinal. Pode ser macroscópica (13% dos casos terão diagnóstico de câncer) ou microscópica (3%).
- Sintomas Irritativos (LUTS): Disúria, polaciúria e urgência podem ocorrer.
- Investigação Diagnóstica:
- Cistoscopia: Exame essencial para visualizar diretamente a bexiga e identificar lesões suspeitas.
- Urotomografia (UroTC): Padrão-ouro para avaliar todo o trato urinário. É uma TC com contraste que inclui uma fase excretora tardia para delinear o urotélio.
- Citologia Oncótica Urinária: Pode detectar células tumorais na urina, sendo útil na investigação.
A abordagem da hematúria microscópica é estratificada por risco (baixo, intermediário, alto) com base na idade, histórico de tabagismo e grau de hematúria, definindo a necessidade de investigação mais ou menos invasiva.

Diagnóstico, Estadiamento e Classificação de Risco
O diagnóstico definitivo e o estadiamento são realizados através da Ressecção Transuretral da Bexiga (RTU-B).
- Procedimento (RTU-B): Uma alça de ressecção é introduzida pela uretra para remover a lesão visível. É crucial que a amostra contenha a camada muscular para determinar se o tumor é músculo-invasivo.
- Re-RTU (Segunda Ressecção): Um novo procedimento realizado de 2 a 6 semanas após a RTU inicial é obrigatório em tumores T1, de alto grau (G3), múltiplos ou quando não há músculo na primeira amostra, para garantir a remoção de tumor residual e confirmar o estadiamento.

- tadiamento (TNM Simplificado):
- Ta: Tumor papilífero não invasivo, confinado ao urotélio.
- Tis (Carcinoma in situ): Lesão plana, de alto grau, confinada ao epitélio.
- T1: O tumor invade o tecido conjuntivo subepitelial.
- T2: O tumor invade a camada muscular.
- Classificação de Risco (Tumores Não Músculo-Invasivos):
- Baixo Risco: Tumor único, Ta, baixo grau, < 3 cm, sem Tis.
- Alto Risco: Tumor T1, alto grau, presença de Tis, ou tumores múltiplos e > 3 cm.
- Risco Intermediário: Casos que não se enquadram nos critérios de baixo ou alto risco.

Tratamento
A abordagem terapêutica depende fundamentalmente da invasão da camada muscular.
- Tumor Não Músculo-Invasivo (Ta, T1, Tis):
- Baixo risco: RTU seguida de vigilância com cistoscopia. Uma dose única de quimioterapia intravesical pode ser considerada.
- Risco Intermediário/Alto: Após a RTU, o tratamento padrão é a imunoterapia intravesical com BCG (Bacilo de Calmette-Guérin), administrada por 1 a 3 anos para reduzir o risco de recorrência e progressão.
- Tumor Músculo-Invasivo (≥T2):
- O tratamento padrão é a cistectomia radical.
- Homens: Cistoprostatectomia (retirada da bexiga e próstata).
- Mulheres: Exenteração pélvica anterior (retirada da bexiga, útero e ovários).
- Após a cistectomia, é necessária uma derivação urinária:
- Conduto Ileal (Bricker): Um segmento do íleo é usado para criar um conduto que leva a urina dos ureteres para um estoma na parede abdominal (derivação incontinente).
- Neobexiga Ortotópica: Um reservatório é construído com o intestino e posicionado no local da bexiga original, permitindo ao paciente urinar pela uretra (derivação continente).
- O tratamento padrão é a cistectomia radical.

O câncer de bexiga tem uma alta taxa de recidiva, exigindo seguimento rigoroso e contínuo com cistoscopias periódicas, pois todo o urotélio permanece em risco.

Conquiste a aprovação e acompanhe mais notícias!
Gostou da novidade? Continue acompanhando nosso blog para ficar por dentro das principais notícias sobre residência médica, editais e oportunidades que podem transformar sua carreira!

