
As pneumoconioses resultam da deposição de partículas inaladas no parênquima pulmonar e da reação tecidual a elas. A chave para o diagnóstico correto é a tríade: História Ocupacional Detalhada + Padrão Radiológico Específico + Exclusão de outras causas.
Pneumoconioses Fibrogênicas (Poeiras Minerais)
Estas condições cursam com alteração da arquitetura pulmonar e fibrose irreversível.
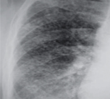
Silicose (A “Grande Simuladora”)
Doença pulmonar difusa causada pela inalação de sílica livre cristalina. É a pneumoconiose de maior prevalência no Brasil.
- População de Risco: Mineração (subterrânea ou superfície), jateamento de areia, cortadores de pedras, indústria de vidro e cerâmica.
- Fisiopatologia: A sílica é citotóxica para os macrófagos alveolares, desencadeando liberação de citocinas fibrogênicas.
- Padrão Radiológico (OIT):
- Nódulos: Pequenas opacidades arredondadas (< 10mm), predominando nos terços superiores e posteriores dos pulmões.

- Peculiaridade: Tendem a poupar os seios costofrênicos (diferença crucial para asbestose).
- Silicose Complicada: Coalescência de nódulos formando grandes massas de fibrose (Fibrose Maciça Progressiva).

- Complicações Associadas: Risco aumentado de Tuberculose (silico-tuberculose), DPOC e doenças autoimunes (Esclerodermia/Síndrome de Erasmus). O transplante pulmonar é a única opção em fases terminais.
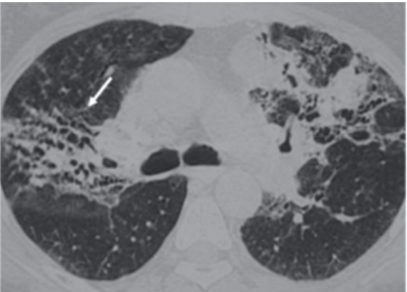
Asbestose (Amianto)
Fibrose intersticial difusa causada pelo asbesto.
- População de Risco: Mineração de amianto, fabricação de caixas d’água/telhas de fibrocimento, lonas de freio, tecidos à prova de fogo e demolição civil.
- Padrão Radiológico (OIT):
- Opacidades irregulares (lineares/reticulares) em bases pulmonares (predomínio inferior).

- Placas Pleurais: Marcador de exposição (patognomônico de exposição, mas não necessariamente de asbestose doença).
- TC de Alta Resolução: Espessamento septal interlobular, linhas subpleurais curvilíneas, bandas parenquimatosas e faveolamento (honeycombing) em casos avançados.
- Malignidade: O asbesto é um carcinógeno potente. Causa Carcinoma Broncogênico (mais comum) e Mesotelioma Pleural (mais específico).
Pneumoconiose dos Mineiros de Carvão (PMC)
- Agente: Poeira de carvão mineral (antracito/betuminoso).
- Apresentação:
- Forma Simples: Máculas de carvão, pouco sintomática.
- Forma Complicada: Fibrose maciça, dispneia severa e alteração funcional.

Pneumoconioses Não-Fibrogênicas e Granulomatosas
Beriliose (Doença Crônica pelo Berílio)
- Agente: Berílio (indústria aeroespacial, nuclear, cerâmicas de alta tecnologia).
- Fisiopatologia: Reação de hipersensibilidade tardia (Tipo IV) formando granulomas não-caseosos.
- Mimetismo: Clínica e radiologicamente indistinguível da Sarcoidose.
- Imagem: Fibrose em lobos superiores, bronquiectasias de tração.

Siderose
- Agente: Óxidos de Ferro (soldadores).
- Características: Depósito de ferro nos macrófagos (siderófagos). Geralmente benigna e assintomática (forma pura), a menos que haja coexposição à sílica (Siderossilicose).

Doenças por Poeiras Orgânicas (Imunológicas)
Bissinose (“Síndrome da Segunda-Feira”)
- Agentes: Poeiras vegetais (Algodão, Linho, Cânhamo, Sisal). Comum na indústria têxtil.
- Quadro Clínico (Bifásico):
- Agudo: Opressão torácica e dispneia que iniciam no primeiro dia da semana de trabalho e melhoram ao longo da semana ou nas folgas.
- Crônico: Sintomas permanentes, mimetizando DPOC/Asma.

Bagaçose (Pneumonite de Hipersensibilidade)
- Agente: Bagaço da cana-de-açúcar mofado.
- Etiologia: Reação imunológica à bactéria termofílica Thermoactinomyces vulgaris.
- Clínica: Quadro “gripal” (febre, dispneia, mialgia) 4-8h após exposição. A forma crônica evolui para fibrose irregular.

Síndromes Específicas com Diagnósticos mais Complexos
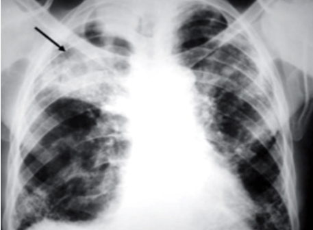
Síndrome de Caplan (Pneumoconiose Reumatoide)
Uma manifestação rara onde ocorre a combinação de Pneumoconiose (Silicose ou Carvão) + Artrite Reumatoide.
- Imagem: Nódulos pulmonares periféricos, múltiplos, de evolução rápida e grandes (1 a 5 cm), podendo cavitar.

Úlcera/Perfuração de Septo Nasal
Lesão cáustica direta em vias aéreas superiores.
- Agentes: Cromo Hexavalente (galvanoplastia/cromagem), Arsênio, Cádmio.
- Clínica: Rinorreia sanguinolenta, dor e perfuração septal visível à rinoscopia.

Perfuração do septo nasal antes e depois de cirurgia corretiva. Fonte: : https://www.dradaniellyandrade.com/post/perfuracao-dosepto-nasal
Diagnóstico Diferencial: Asma Ocupacional vs. RADS
A distinção é baseada na latência e no mecanismo.
| Característica | Asma Ocupacional | RADS (Síndrome de Disfunção Reativa das Vias Aéreas) |
| Mecanismo | Imunológico (IgE) ou irritativo crônico. | Irritativo direto (lesão química/térmica). |
| Latência | Possui período de latência (sensibilização). | Sem latência. Início imediato (< 24h). |
| Exposição | Exposição crônica a baixas/médias doses. | Exposição única, acidental e em alta concentração. |
| Agentes | Farinhas, isocianatos, látex, metais. | Cloro, Amônia, Ácido Sulfúrico, Fumaça. |
| Diagnóstico | Peak Flow seriado (Trabalho vs. Casa). | História de acidente químico + Espirometria. |
Classificação de Schilling (O Nexo Causal)
Fundamental para a medicina legal e previdenciária, define a relação entre a doença e o trabalho.
- Grupo I (Causa Necessária): O trabalho é a causa única.
- Ex: Silicose, Asbestose, Intoxicação por Chumbo. (Sem trabalho = Sem doença).
- Grupo II (Fator Contributivo): O trabalho é um fator de risco (contributivo), mas não necessário.
- Ex: Hipertensão, Doença Coronariana, Câncer, Burnout, Doenças Osteomusculares.
- Grupo III (Agravador): O trabalho desencadeia ou agrava uma doença latente/preexistente.
- Ex: Asma, Dermatite de Contato Alérgica.
Como conquistar a aprovação na residência?
Quer alcançar a aprovação nas provas de residência médica? Então seja um MedCofer! Aqui te ajudaremos na busca da aprovação com conteúdos de qualidade e uma metodologia que já aprovou mais de 35 mil residentes no país! Por fim, acesse o nosso canal do youtube para ver o nosso material.

