
O câncer de mama é uma das neoplasias malignas mais comuns entre as mulheres, e sua compreensão detalhada é essencial para a prevenção, diagnóstico precoce e tratamento eficaz.
O que é o Câncer de Mama?
O Câncer de Mama é uma doença causada pelo crescimento descontrolado e anormal das células na glândula mamária, podendo ocasionar em tumor.
Ainda, caso este tumor não seja tratado, é possível que se espalhe para outros órgãos por meio do sistema linfático ou sangue – um processo conhecido como metástase.
Fatores de Risco do Câncer de Mama
Os fatores de risco para o câncer de mama são variados e possui classificação em várias categorias:
- Sexo e Idade: O sexo feminino é o principal fator de risco, e a incidência aumenta com a idade avançada.
- Fatores Hormonais: Incluem menarca precoce, menopausa tardia, nuliparidade ou primeiro parto após os 35 anos, ausência de lactação e terapia de reposição hormonal (TRH).
- Hereditariedade: História familiar de câncer de mama, especialmente em parentes de primeiro grau, câncer de mama na pré-menopausa, casos em homens e câncer de ovário.
- Outros Fatores: Origem judaica Asquenazi, lesões proliferativas de alto risco, síndrome metabólica, obesidade e ingestão alcoólica. A atividade física regular pode reduzir o risco.
Diante dessa análise, podemos perceber que o câncer passa por diferentes estágios e apresenta diferentes gravidades.

Como tratar o Câncer de Mama?
O tratamento do câncer de mama pode incluir cirurgia, radioterapia, quimioterapia, hormonioterapia e terapias direcionadas, dependendo do tipo e estágio do tumor.
Cirurgia
A cirurgia pode envolver a remoção do tumor (setorectomia) ou a remoção completa da mama (mastectomia). A abordagem cirúrgica da axila pode incluir a biópsia do linfonodo sentinela ou a dissecção axilar, dependendo da extensão da doença.
Radioterapia
A radioterapia é frequentemente utilizada após a cirurgia para reduzir o risco de recidiva local. Tem realização em diferentes regimes, incluindo hipofracionamento e ultra-hipofracionamento.
Quimioterapia e Terapias Sistêmicas
A quimioterapia pode ser administrada antes (neoadjuvante) ou após (adjuvante) a cirurgia. Tumores luminais geralmente recebem hormonioterapia, enquanto tumores HER2 positivos recebem terapia anti-HER2. Tumores triplo negativos são tratados principalmente com quimioterapia, embora novas opções, como imunoterapia, estejam sendo exploradas.
Hormonioterapia
A hormonioterapia possui indicação para tumores que expressam receptores hormonais (RE/RP). Medicamentos como tamoxifeno e inibidores de aromatase são utilizados para reduzir o risco de recidiva.
Terapias Direcionadas
Para tumores HER2 positivos, terapias direcionadas como trastuzumabe, pertuzumabe e T-DM1 são utilizadas para melhorar o prognóstico.

Tipos de Câncer de Mama
O câncer de mama pode ser classificado em diferentes tipos, dependendo do tipo de célula cancerígena e formas de se espalhar. Veja a seguir:
Carcinoma Ductal In Situ
O Carcinoma Ductal In Situ (CDIS) é uma lesão precursora do câncer de mama, caracterizada pela proliferação de células neoplásicas dentro dos ductos mamários sem a ruptura da membrana basal. Esta condição pode evoluir para câncer invasivo se não tratada, com um risco de 14% a 46% em 10 anos.
O seu diagnóstico ocorre através de exames de rastreamento, como mamografias, que frequentemente revelam microcalcificações irregulares.
O tratamento geralmente envolve cirurgia, que pode ser uma setorectomia ou mastectomia, dependendo da extensão da lesão. A margem cirúrgica recomendada é de pelo menos 2mm. Já a biópsia do linfonodo sentinela, não possui recomendação de rotina, mas pode ser considerada em pacientes de alto risco. Para os pacientes submetidos à setorectomia, é indicado a radioterapia, que reduz em 50% as recidivas locais.
Doença de Paget
A Doença de Paget da mama é uma condição rara, representando 1 a 3% das neoplasias malignas de mama. Está frequentemente associada ao carcinoma invasor e ao CDIS, com uma alta prevalência de grau histológico elevado, receptor hormonal negativo e HER2 positivo. Geralmente os sintomas incluem:
- Prurido;
- Eczema no mamilo – podendo evoluir para crostas e ulcerações.
Para diagnosticar este tipo, é realizado um exame anatomopatológico, utilizando técnicas como punch ou core biopsy, além de exames de imagem como mamografia e ultrassonografia das mamas.
O tratamento envolve a retirada da lesão com margem, que pode ser realizada através de setorectomia do setor central ou mastectomia, dependendo da extensão da doença.
Classificação e Estadiamento do Câncer de Mama
O câncer de mama tem classificação em diferentes subtipos com base em características histológicas e moleculares:
- Luminal A: Muito sensível à hormonioterapia, melhor prognóstico, mais comum (40%), positivo para RE/RP, negativo para HER2, Ki67 baixo (< 14%).
- Luminal B: Positivo para RE/RP, HER2 negativo, Ki67 > 14%.
- Luminal Híbrido (ou Luminal HER): RE/RP positivo, HER2 positivo, Ki67 qualquer.
- Triplo Negativo: RE/RP negativo, HER2 negativo, Ki67 qualquer.
- HER2 Positivo: RE/RP negativo, HER2 positivo, Ki67 qualquer.
O estadiamento do câncer de mama ocorre com base no sistema TNM (Tamanho do tumor, Linfonodos acometidos, Metástase). Este sistema ajuda a determinar a extensão da doença e a planejar o tratamento adequado.
Mutações genéticas do câncer de mama
Em mulheres, mutações nos genes BRCA1 e BRCA2 predispõem ao desenvolvimento de câncer de mama e ovário. Já nos homens, a presença de mutação no gene BRCA2 predispõe o desenvolvimento de câncer de mama e próstata.
Quando realizar o teste genético?
O teste genético pode ser sugerido ao paciente que apresentar risco de mutação de no mínimo 10%. Porém, após sugerir a possibilidade de realizar o teste, deve-se orientar sobre as implicações que essa ação terá na vida do paciente.
O National Comprehensive Cancer Network (NCCN) selecionou alguns critérios para classificar os pacientes como classificáveis para realização do teste genético. São eles:
- Indivíduos de família sabidamente com mutação deletéria em BRCA1/BRCA2.
- História pessoal de câncer de mama + 1 das seguintes condições:
- Diagnóstico com ≤ 45 anos.
- Diagnóstico ≤ 50 anos com ≥ 1 parente próximo com câncer de mama ≤ 50 anos de idade e/ou ≥ 1 parente próximo consanguíneo com CA epitelial de ovário em qualquer idade.
- 2 cânceres primários de mama quando o 1º tiver ocorrido com ≤ 50 anos.
- Diagnóstico com ≤ 60 anos de câncer de mama triplamente negativo.
- Diagnóstico com ≤ 50 anos + história familiar limitada.
- Diagnóstico em qualquer idade, com ≥ 2 parentes consanguíneos com câncer de mama e/ou epitelial de ovário em qualquer idade.
- Parente próximo do sexo masculino com câncer de mama.
- Indivíduos com etnia associada a maior frequência de mutação (p. ex., judeus asquenazi).
- História pessoal de câncer epitelial de ovário.
- Sexo masculino com história pessoal de câncer de mama.
- História pessoal de câncer de pâncreas em qualquer idade com ≥ 2 parentes consanguíneos com câncer de mama e/ou ovário e/ou câncer de pâncreas em qualquer idade.
Levando em conta apenas a História familiar, é importante ressaltar os seguintes casos:
- Em parente de 1º ou 2º grau com qualquer um dos critérios acima.
- Parente de 3º grau com câncer de mama e/ou ovário com ≥ 2 parentes próximos com câncer de mama (no mínimo um câncer de mama ≤ 50 anos de idade) e/ou câncer de ovário.
Ao final de tamanha pesquisa e no caso de testes genéticos positivos, familiares de risco com base na genealogia devem ser identificados e o paciente deve ser incentivado a contar a sua família e incentivar o rastreio.
Como proceder diante de uma mutação genética?
Pacientes com mutação confirmada devem ser esclarecidos sobre a possibilidade de realizar mastectomia bilateral profilática, com o intuito de diminuir o risco de desenvolvimento de câncer.
O risco residual pós-cirúrgico costuma ser < 10%. Caso o paciente não deseje realizar a profilaxia, o acompanhamento deve ser anual através de mamografia, a partir dos 25 anos. Além disso, é recomendado o exame clínico das mamas duas vezes por ano.

Tipos Histológicos dos Nódulos Mamários
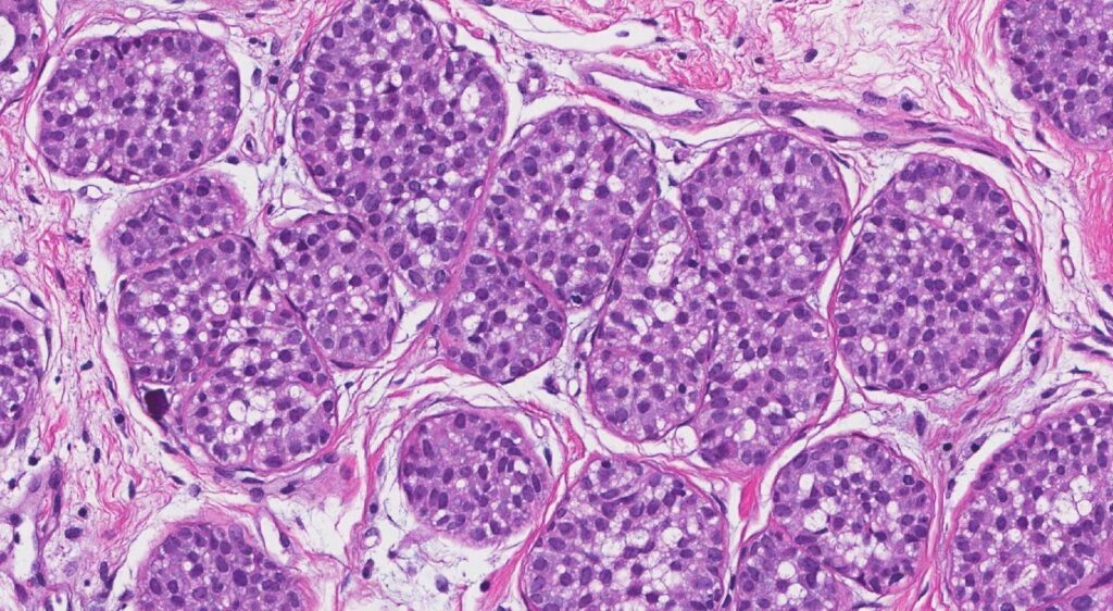
Para entender a patologia, precisamos revisitar a anatomia microscópica. A mama organiza-se em lobos e ductos que culminam na Unidade Ducto-Lobular Terminal (UDLT). É nesta estrutura, a menor unidade funcional da mama, que a grande maioria das lesões precursoras e carcinomas se originam.

Lesões Papilares Intraductais
Os papilomas são proliferações que ocorrem dentro do sistema ductal. A distinção anatômica é fundamental para o prognóstico:
- Papilomas Centrais: Originam-se nos ductos principais. São tipicamente únicos e manifestam-se clinicamente com fluxo papilar (descarga mamilar). À imagem, podem aparecer como nódulo retroareolar ou ducto dilatado. O risco relativo de câncer é aumentado em cerca de 2 vezes.
- Papilomas Periféricos: Originam-se na UDLT, tendem a ser múltiplos e geralmente são assintomáticos. O risco de câncer aqui é maior, com aumento de cerca de 3 vezes.

Alerta: Se houver atipia associada (seja no central ou periférico), o risco relativo salta para até 7,5 vezes. Portanto, lesões com atipia têm indicação formal de excisão cirúrgica.
Lesões Fibroepiteliais
Este grupo inclui o tumor benigno mais frequente da mama e diagnósticos diferenciais importantes.
Fibroadenoma
É a lesão nodular mais comum. Apresenta-se como um nódulo fibroelástico, móvel e bem delimitado.
- Comportamento: É um hormônio dependente, podendo crescer na gestação e lactação, e evoluir na menopausa. Geralmente estabiliza entre 2 e 3 cm.
- Risco: Não eleva o risco para câncer de mama.
- Conduta: Acompanhamento clínico na maioria dos casos. A cirurgia é reservada para nódulos grandes (>2-3 cm), sintomáticos ou com crescimento progressivo.

Tumor Phyllodes
É o principal diagnóstico diferencial do fibroadenoma. Embora raro (menos de 1% dos tumores mamários), diferencia-se por ter maior celularidade estromal e maior número de mitoses.
- Classificação: Pode ser Benigno, Borderline ou Maligno.
- Conduta: Exige excisão cirúrgica com margem de segurança (pelo menos 1 cm), devido ao maior risco de recorrência local.

Lesões Mesenquimais (PASH)
A Hiperplasia Estromal Pseudoangiomatosa (PASH) é uma lesão benigna, presente em cerca de 25% das biópsias, que pode simular nódulos. A conduta é habitualmente o seguimento.
Lesões Proliferativas e Cicatriz Radiada: As Imitadoras
Algumas lesões benignas podem mimetizar malignidade nos exames de imagem, gerando o que chamamos de distorção arquitetural.
- Cicatriz Radiada (ou Lesão Esclerosante Complexa se > 1cm): Na mamografia, apresenta-se como uma imagem espiculada ou distorção que confunde-se com carcinoma. Embora o risco isolado de câncer não seja altíssimo, a conduta padrão é a ampliação cirúrgica para descartar malignidade oculta associada.
- Adenose Mamária: Comum entre a 3ª e 4ª décadas de vida, inclui subtipos como a adenose esclerosante. A conduta geralmente é o seguimento.
Lesões Precursoras
Entramos agora no terreno do Alto Risco Histopatológico. Estas lesões são marcadores que indicam um terreno fértil para o desenvolvimento de câncer em qualquer local da mama.
- Hiperplasia Ductal Atípica (HDA): Histologicamente semelhante a um carcinoma in situ de baixo grau, porém menor. Aumenta o risco de câncer em 3 a 5 vezes. A conduta exige ampliação cirúrgica (pelo risco de subestimação na biópsia por agulha) e discussão sobre quimioprevenção.

- Neoplasia Lobular Não Invasiva: Engloba a Hiperplasia Lobular Atípica (HLA) e o Carcinoma Lobular In Situ (CLIS).
- Risco: A HLA aumenta o risco em 4-5x, enquanto o CLIS aumenta em 8-10x.
- Característica: Frequentemente é multicêntrica e bilateral. Funciona como um marcador de risco para ambas as mamas. A conduta envolve seguimento rigoroso, quimioprevenção e, em casos selecionados, cirurgia.

Ginecomastia
A patologia mamária não é exclusiva do sexo feminino. A ginecomastia é a proliferação benigna do tecido glandular no homem.
- Picos de Incidência: Recém-nascidos (hormônios maternos), adolescentes e idosos.
- Investigação: É mandatório solicitar HCG, Estradiol, Testosterona e LH para diferenciar causas fisiológicas de tumores (testiculares/adrenais) ou hipogonadismo.
- Causas Secundárias: Sempre revise a lista de medicações (ex: espironolactona, digoxina, cimetidina) e uso de substâncias como anabolizantes ou maconha.
- Tratamento: Tratamento da causa base. Em adolescentes, a conduta inicial é expectante. A cirurgia ou uso de tamoxifeno fica reservada para casos persistentes com desconforto físico ou psicossocial.

Não deixe de conferir!
- Rastreamento de câncer de mama agora poderá ser feito a partir de 40 anos
- Congelamento do Câncer de Mama: técnica Brasileira alcança 100% de eficácia
- ANS propõe discussão sobre o rastreamento do Câncer de Mama
- Ressonância magnética das mamas será disponibilizada pelo SUS
O método que te aprova!
Quer alcançar a aprovação nas provas de residência médica? Então seja um MedCofer! Aqui te ajudaremos na busca da aprovação com conteúdos de qualidade e uma metodologia que já aprovou mais de 20 mil residentes no país! Por fim, acesse o nosso canal do youtube para ver o nosso material, como o nosso COFEXPRESS sobre câncer de mama:

