
A diarreia crônica é uma condição frequente na prática clínica e representa um desafio diagnóstico relevante, especialmente no contexto ambulatorial e hospitalar. Diferentemente da diarreia aguda, geralmente autolimitada, a diarreia crônica — definida como aquela com duração superior a quatro semanas — exige uma abordagem sistematizada, com avaliação detalhada dos mecanismos fisiopatológicos e amplo diagnóstico diferencial, que inclui desde distúrbios funcionais até doenças inflamatórias e neoplasias raras Diarreia Crônica.
O que é diarreia crônica?
Define-se diarreia crônica como a presença de fezes amolecidas ou líquidas por período superior a 4 semanas. A avaliação inicial deve considerar não apenas a duração, mas também volume, frequência, características das fezes e sintomas associados, elementos fundamentais para orientar a investigação etiológica.
Fisiopatologia da diarreia crônica
A compreensão da fisiopatologia é o primeiro passo para um raciocínio diagnóstico eficiente. A diarreia crônica pode ser classificada de acordo com a topografia intestinal e o mecanismo fisiopatológico predominante.
Classificação topográfica
Diarreia alta (intestino delgado)
- Volume: elevado;
- Frequência: menor;
- Características: presença de restos alimentares (lienteria), ausência de tenesmo;
- Mecanismo predominante: disabsortivo ou osmótico.
Diarreia baixa (intestino grosso)
- Volume: pequeno;
- Frequência: aumentada;
- Características: tenesmo, muco e/ou sangue;
- Mecanismo predominante: inflamatório.
Classificação fisiopatológica
- Diarreia osmótica: cessa com o jejum; associada a solutos não absorvidos no lúmen (ex.: intolerância à lactose, uso de magnésio ou adoçantes). Gap osmolar fecal elevado (>125 mOsm/kg).
- Diarreia secretória: persiste mesmo em jejum; grande volume fecal; associada a estímulos de secreção intestinal (ex.: síndrome carcinoide, ácidos biliares). Gap osmolar baixo (<50 mOsm/kg).
- Diarreia disabsortiva: caracterizada por esteatorreia; causas incluem insuficiência pancreática, doença celíaca e supercrescimento bacteriano.
- Diarreia inflamatória: presença de sangue, muco ou leucócitos nas fezes; associada a DII, colite actínica e neoplasias.
- Diarreia por dismotilidade: relacionada a alterações do trânsito intestinal (ex.: diabetes, hipertireoidismo, pós-vagotomia).
Investigação laboratorial na diarreia crônica
Além dos exames básicos, a investigação deve ser direcionada conforme suspeita clínica.
Avaliação inflamatória
- Calprotectina fecal:
- < 50 µg/g: sugere síndrome do intestino irritável;
- 150 µg/g: indica inflamação intestinal ativa.
Avaliação de má absorção
- SUDAM: pesquisa qualitativa de gordura fecal.
- Elastase fecal: avaliação da função pancreática exócrina.
- Vitaminas B12 e ácido fólico: úteis na suspeita de SIBO.
Marcadores específicos
- Gastrina e VIP: suspeita de gastrinoma ou VIPoma;
- Triptase sérica: mastocitose sistêmica;
- 5-HIAA urinário (24h): síndrome carcinoide.
Doença celíaca: aspectos diagnósticos relevantes
A biópsia duodenal é o padrão-ouro, porém a sorologia orienta a indicação do procedimento.
- Sorologia inicial: Anti-transglutaminase tecidual (Anti-TTG IgA) + IgA total;
- Deficiência de IgA: solicitar Anti-TTG IgG ou anti-gliadina deaminada IgG;
- HLA DQ2/DQ8: alto valor preditivo negativo; útil em casos duvidosos ou pacientes já em dieta sem glúten;
- Achados histológicos: atrofia vilositária, hiperplasia de criptas e linfocitose intraepitelial.
A persistência de sintomas após 12 meses de dieta rigorosa caracteriza doença celíaca refratária, sendo obrigatória a exclusão de linfoma intestinal.


Intolerância à lactose
É fundamental diferenciar deficiência de lactase de alergia à proteína do leite.
Principais métodos diagnósticos:
- Teste genético (MCM6): genótipo C/C indica hipolactasia primária;
- Teste respiratório com hidrogênio: aumento do H₂ após ingestão de lactose;
- Teste de tolerância oral à lactose: ausência de elevação glicêmica significativa.
Supercrescimento bacteriano do intestino delgado (SIBO)
Caracteriza-se pela migração de bactérias do cólon para o intestino delgado.
- Perfil laboratorial típico:
- Vitamina B12 reduzida
- Ácido fólico elevado
- Diagnóstico: teste respiratório com lactulose ou glicose
- Positivo se aumento de H₂ > 20 ppm em até 90 minutos
- Tratamento: rifaximina ou antibióticos sistêmicos (ciprofloxacino, metronidazol)

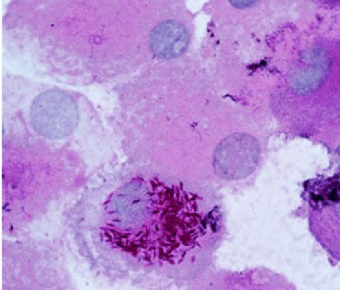
Doença de Whipple
Infecção sistêmica rara causada por Tropheryma whipplei.
- Tríade clássica: diarreia crônica, perda ponderal e artralgia migratória;
- Achados neurológicos: miorritmia oculomastigatória (patognomônica);
- Diagnóstico: biópsia duodenal com macrófagos PAS positivos;
- Tratamento: antibióticoterapia bifásica (indução IV seguida de manutenção oral prolongada).

Colite microscópica
Caracteriza-se por diarreia aquosa crônica, principalmente em mulheres idosas, com colonoscopia macroscopicamente normal.
- Associação medicamentosa: AINEs, IBPs, sertralina.
- Subtipos histológicos:
- Colite linfocítica
- Colite colagenosa
- Tratamento: suspensão da droga causal, loperamida ou budesonida.
Síndrome do Intestino Irritável
Diagnóstico de exclusão, baseado nos critérios de Roma IV.


- Subtipos (Escala de Bristol):
- SII-C, SII-D e SII-M.
- Tratamento:
- Antiespasmódicos;
- Loperamida ou laxantes;
- Antidepressivos como moduladores da dor visceral.

Estude diarreia crônica com quem prepara para a residência
Quer aprofundar o raciocínio diagnóstico em gastroenterologia e dominar temas como diarreia crônica, SIBO, doença celíaca e DII com foco em prova e prática clínica?
No MedCof, você estuda com aulas objetivas, fluxogramas claros e professores que vivem a residência médica. Conheça o método MedCof e prepare-se para diagnosticar com segurança e passar na residência!

