
No universo da oncocirurgia, os sarcomas representam um grupo heterogêneo e desafiador. Embora correspondam a menos de 1% dos cânceres em adultos, sua alta taxa de recorrência local e a complexidade do manejo cirúrgico exigem que o residente tenha conceitos muito claros.
O que são os Sarcomas?
Os sarcomas são neoplasias originárias do tecido mesenquimal pluripotente (tecido conectivo). Isso significa que podem surgir de osso, músculo, tecido adiposo ou cartilagem. Existem mais de 60 tipos descritos, mas todos compartilham um comportamento biológico similar:
- Crescimento Expansivo: Eles empurram as estruturas adjacentes, criando uma pseudocápsula (uma reação fibrótica ao redor do tumor). Cuidado: Essa pseudocápsula contém células tumorais e não é uma margem segura!
- Disseminação: A metástase mais comum é hematogênica, com predileção pelo pulmão. A disseminação linfática é rara, exceto em subtipos específicos (lembre-se do mnemônico ESCAR: Epitelioide, Sinovial, Células Claras, Angiossarcoma, Rabdomiossarcoma).

Epidemiologia e Fatores de Risco
Apesar de raros em adultos, representam cerca de 12% dos cânceres pediátricos. A etiologia pode envolver:
- Genética: Síndrome de Li-Fraumeni, Neurofibromatose, Síndrome de Gardner.
- Vírus: HHV-8 (Sarcoma de Kaposi), EBV, HIV.
- Irradiação: Angiossarcomas podem surgir em áreas irradiadas após 10 anos.
- Linfedema Crônico.

Quadro Clínico
A apresentação clássica é uma massa de partes moles de crescimento progressivo e indolor.
Atenção: O paciente frequentemente relata um trauma local prévio. Isso é uma pegadinha! O trauma não causa o sarcoma; ele apenas chama a atenção do paciente para uma lesão que já estava lá e era indolor.
Quando suspeitar de malignidade em uma massa de partes moles?
- Tamanho > 5 cm.
- Profunda à fáscia.
- Crescimento rápido (duplica em 6 meses).
- Consistência fibrosa ou pétrea.
- Recorrência após ressecção prévia.
Diagnóstico: Membros vs. Retroperitônio
A conduta muda drasticamente dependendo da localização.
A. Sarcoma de Membros (Partes Moles):
- Imagem: A Ressonância Magnética (RNM) é o padrão-ouro para avaliar compartimentos e planejar a cirurgia. A Tomografia (TC) é usada inicialmente e para estadiamento (tórax).
- Biópsia: SIM! É mandatória antes da cirurgia definitiva para massas suspeitas (>5cm, profundas). O método de escolha é a Core Biopsy (agulha grossa – Trucut), que define o diagnóstico em 97% dos casos. A incisão deve ser longitudinal ao membro, pois o trajeto da biópsia precisará ser removido na cirurgia.

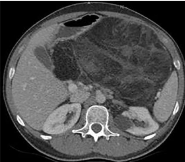
B. Sarcoma de Retroperitônio:
São tumores silenciosos que crescem muito antes de gerar sintomas (efeito de massa, constipação). O diagnóstico costuma ser tardio.
- Imagem: Tomografia de abdome/pelve.
- Biópsia: NÃO! Evita-se a biópsia percutânea pelo alto risco de disseminação tumoral no peritônio. A biópsia só é indicada se o tumor for irressecável (para guiar quimioterapia) ou se houver dúvida diagnóstica (ex: suspeita de linfoma).
- Conduta: A cirurgia é programada com base na imagem.

Estadiamento e Grau Histológico
O estadiamento TNM considera o tamanho (< 5cm, 5-10cm, 10-15cm, >15cm). Porém, o Grau Histológico é o fator prognóstico determinante. Ele avalia:
- Diferenciação celular.
- Contagem mitótica.
- Necrose tumoral.
Quanto maior o grau, maior a agressividade e o risco de metástase.
Tratamento
O objetivo é a cura com preservação da funcionalidade.Nesse caso, a cirurgia é soberana!
- Ressecção R0: É a meta. Significa retirar o tumor com margens macroscópicas e microscópicas livres.
- Margens: Em sarcomas de extremidades, busca-se margem de 2 cm. Jamais “descasque” o tumor pela pseudocápsula (isso é cirurgia R1/R2 e leva à recidiva em 80% dos casos).
- Radioterapia: Pode ser neoadjuvante (antes, para reduzir o tumor, mas aumenta risco de complicações na ferida) ou adjuvante (depois, para esterilizar margens). O objetivo é controle local.
- Quimioterapia: É discutível e reservada para casos específicos (neoadjuvância em tumores grandes ou metastáticos).
E se o membro não puder ser salvo?
Atualmente, evita-se a amputação. Técnicas como a Perfusão Isolada de Membro (circular quimioterápico apenas no membro afetado) são opções para casos irressecáveis ou recidivados visando o salvamento do membro.
Garanta o Extensivo 2026 com bônus exclusivos até 31/01
Ao se inscrever no Extensivo 2026, você não leva apenas o curso principal: até 31 de janeiro, você garante bônus estratégicos que ampliam sua preparação desde o início do ano, sem custo adicional:
- CofQuest — jogo de aprendizagem ativa para fixar conteúdo de forma mais eficaz;
- MedCof Life Hacks — preparação para a vida real médica;
- MedCof Hands On Online — prática aplicada com casos clínicos;
- Direcionamento Inicial ao vivo — organização estratégica dos seus estudos.
Atenção: essa condição é por tempo limitado e encerra em 31/01! Garanta agora e comece 2026 no ritmo certo, com mais segurança e direção.


