
O intestino delgado compreende cerca de 90% da superfície mucosa do trato gastrointestinal, mas, paradoxalmente, é o sítio de menos de 5% das neoplasias malignas desse sistema.
Epidemiologia e Topografia
Essa raridade de acometimento é atribuída a fatores protetores naturais: o trânsito intestinal acelerado (que reduz o tempo de contato com carcinógenos), a menor carga bacteriana (especialmente de anaeróbios) e a abundante presença de tecido linfoide e IgA.
Vale lembrar que houve uma mudança epidemiológica importante nas últimas décadas. Historicamente, o adenocarcinoma era o câncer mais comum do delgado. Atualmente, os Tumores Neuroendócrinos (NETs) assumiram a liderança em prevalência.

A Regra da Localização
A topografia nos dá pistas valiosas sobre a histologia provável:
- Duodeno: O tumor maligno mais comum é o Adenocarcinoma (especialmente periampular).
- Íleo: O tumor mais comum é o Neuroendócrino (NET).
- Exceção: Na Doença de Crohn, o adenocarcinoma é mais comum no íleo.
Metástases:
É crucial lembrar que o delgado é um sítio frequente de metástases de outros órgãos, sendo estas mais comuns que os tumores primários. As origens principais são melanoma (famoso por causar intussuscepção e obstrução), pulmão, mama, colo uterino e cólon.
Fatores de Risco e Patogênese
Adenocarcinoma
Adenocarcinoma:
Confira uma patogênese similar à do câncer colorretal (sequência adenoma-carcinoma).

- Fatores Dietéticos e Ambientais: Dieta pobre em fibras, rica em açúcares refinados, carnes vermelhas/defumados, obesidade e tabagismo.
- Síndromes Genéticas: Polipose Adenomatosa Familiar (PAF), Síndrome de Lynch e Peutz-Jeghers.
- Doenças Inflamatórias: Doença de Crohn (inflamação crônica).
- Fibrose Cística: Pacientes com fibrose cística, especialmente os transplantados pulmonares, possuem um risco elevadíssimo (cerca de 18%) de desenvolver câncer de delgado.
Linfoma
Geralmente do tipo MALT, o delgado é o segundo sítio extranodal mais comum. Fatores de risco incluem estados de imunodeficiência (HIV/AIDS, pós-transplante), doenças autoimunes e, especificamente, a Doença Celíaca.
Quadro Clínico e Síndromes Associadas
Os sintomas são insidiosos, o que leva ao diagnóstico em estágios avançados (III ou IV).
- Gerais: Dor abdominal vaga, perda ponderal, náuseas.
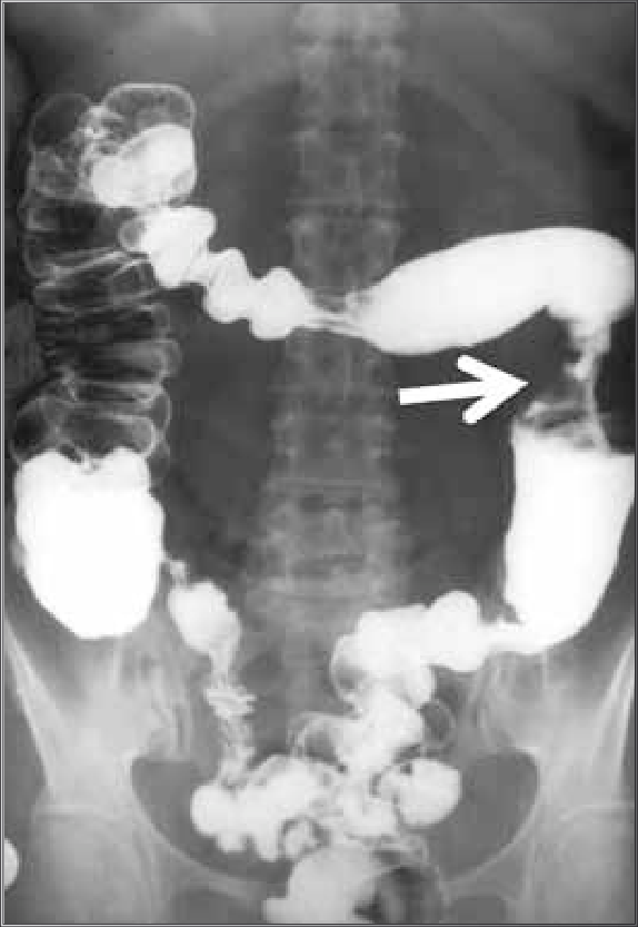
- Obstrutivos: Dor em cólica e vômitos (comuns em lesões duodenais proximais). A imagem radiológica pode mostrar o sinal da “maçã mordida”.
- Sangramento: Pode ser manifesto (enterorragia) ou oculto (anemia ferropriva inexplicada).
- Duodenais: Icterícia (se periampular).

Síndrome Carcinóide
Esta síndrome ocorre quando o tumor neuroendócrino secreta substâncias vasoativas (como serotonina e cininas) que escapam da metabolização hepática. Por isso, é muito mais frequente na doença metastática (56% dos casos) do que na localizada (19%).
- Flushing (Rubor): Presente em 85% dos casos. Eritema facial e de extremidades.
- Diarreia e Cólicas: Presentes em 75-85% dos casos (mediados pela serotonina).
- Lesão Valvular Cardíaca: Ocorre em 40% dos casos, tipicamente acometendo o coração direito (insuficiência tricúspide), pois as substâncias são inativadas ao passar pelo pulmão antes de chegar ao coração esquerdo.
- Broncoespasmo: Menos comum (cerca de 19%).
O Caminho Diagnóstico
O diagnóstico incidental é comum, mas a investigação direcionada é necessária em sintomáticos.
- Tomografia (TC) com contraste: É o exame inicial. Se houver suspeita de malignidade, a Entero-TC oferece melhor detalhamento.
- Métodos Endoscópicos: Endoscopia Digestiva Alta (para duodeno), Colonoscopia (pode alcançar o íleo terminal) e Cápsula Endoscópica (excelente para mucosa, mas contraindicada se houver suspeita de estenose/obstrução).
- Medicina Nuclear:
- PET-CT convencional: Pode gerar falsos positivos em áreas de inflamação (como no Crohn).
- PET-Gálio (DOTATATE): É o padrão-ouro específico para tumores neuroendócrinos (NETs), avaliando a expressão de receptores de somatostatina.
- Biomarcadores: O 5-HIAA urinário (metabólito da serotonina) é útil especificamente para diagnóstico e seguimento da síndrome carcinoide.
Tratamento Cirúrgico e Sistêmico
A cirurgia é a pedra angular, mas a técnica varia conforme a “personalidade” histológica do tumor.
A. Adenocarcinoma:
- Cirurgia: Ressecção segmentar com linfadenectomia mesentérica ampla.
- Localização Duodenal: Frequentemente exige Duodenopancreatectomia (Cirurgia de Whipple).
- Adjuvância: Quimioterapia (fluoropirimidina + platina) indicada para linfonodos positivos (N+) ou alto risco.
B. Tumor Neuroendócrino (NET):
- Cirurgia: Ressecção com linfadenectomia.
- Atenção: Deve-se sempre vasculhar todo o delgado, pois 20% dos casos apresentam lesões sincrônicas (múltiplos tumores ao mesmo tempo).
- Doença Metastática: Uso de análogos de somatostatina (Octreotide) para controle da síndrome carcinoide, além de terapias com radionuclídeos (Lutécio).

caso de tumor neuroendócrino metastático de intestino delgado com quadro característico de síndrome carcinoide. Fonte: https://doi.org/10.1590/0102-672020190001e1492
C. Sarcomas (GIST):
- Representam a maioria dos sarcomas do delgado.
- Cirurgia: Ressecção segmentar com margens livres. Não é necessária linfadenectomia, pois a disseminação linfática é raríssima.
- Terapia Alvo: O Imatinib (inibidor de tirosina quinase) é usado na doença metastática, irressecável, ou como neoadjuvância para reduzir tumores borderline.

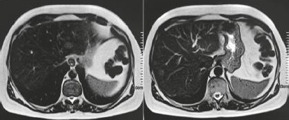
Fonte: https://doi.org/10.1590/S0100-39842007000300004
D. Linfoma:
- O tratamento principal é quimioterápico (esquema R-CHOP: Rituximabe, Ciclofosfamida, Doxorrubicina, Vincristina, Prednisolona). A cirurgia fica reservada para complicações (perfuração/obstrução) ou diagnóstico.
Garanta o Extensivo 2026 com bônus exclusivos até 31/01
Ao se inscrever no Extensivo 2026, você não leva apenas o curso principal: até 31 de janeiro, você garante bônus estratégicos que ampliam sua preparação desde o início do ano, sem custo adicional:
- CofQuest — jogo de aprendizagem ativa para fixar conteúdo de forma mais eficaz;
- MedCof Life Hacks — preparação para a vida real médica;
- MedCof Hands On Online — prática aplicada com casos clínicos;
- Direcionamento Inicial ao vivo — organização estratégica dos seus estudos.
Atenção: essa condição é por tempo limitado e encerra em 31/01! Garanta agora e comece 2026 no ritmo certo, com mais segurança e direção.


