
Classificação e Etiopatogenia
A distinção entre a origem bacteriana (piogênico) e parasitária (amebiano) muda completamente a conduta terapêutica.
Abscesso Hepático Amebiano
- Agente: Entamoeba histolytica.
- Epidemiologia: Mais comum em homens jovens e em áreas endêmicas.
- Fisiopatologia: Ingestão de cistos (água/alimentos contaminados) -> Invasão da mucosa intestinal -> Circulação Portal -> Fígado.
- História: Geralmente há relato de diarreia meses antes do aparecimento do quadro hepático.

Abscesso Hepático Piogênico
- Agente: Bactérias (geralmente polimicrobiano).
- Vias de Disseminação:
- Portal: Secundário a infecções abdominais (ex: apendicite, diverticulite).
- Biliar: Colangites ou obstruções biliares (disseminação local).
- Arterial: Disseminação de infecções sistêmicas (ex: endocardite).
- Trauma ou Criptogênico (sem foco primário identificado).

Quadro Clínico
O quadro costuma ser arrastado. A tríade clássica envolve:
- Febre;
- Dor em Hipocôndrio Direito;
- Hepatomegalia.
- Sintomas Consumptivos: Perda de peso, astenia, inapetência e náuseas são frequentes.
- Icterícia: É um sinal de alerta, sendo muito mais comum no abscesso piogênico do que no amebiano.

Diagnóstico e Imagem
O diagnóstico diferencial com tumores e cistos é crucial.
- Laboratório: Leucocitose, aumento de enzimas hepáticas e hemoculturas (no piogênico).
- Nota: O exame de fezes (EPF) geralmente é negativo para ameba na fase do abscesso hepático ativo.
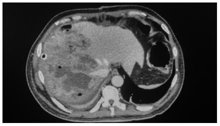
Exames de Imagem
- Ultrassom (USG): Bom exame inicial, útil para diferenciar de cistos simples e tumores sólidos.
- Tomografia (TC) de Abdome: É o melhor exame para definição.
- Achados: Coleção encapsulada, conteúdo heterogêneo e presença de edema perilesional característico.

Microbiologia
No abscesso piogênico, a flora varia conforme a origem ou comorbidades:
- E. coli: Bactéria isolada mais comum.
- Klebsiella pneumoniae: Fortemente associada a tumor colorretal (fazer colonoscopia pós-tratamento).

- Staphylococcus aureus: Comum após procedimentos cirúrgicos.

- Candida spp: Em imunossuprimidos e pacientes em quimioterapia.

- Tuberculose: Deve ser suspeitada em abscessos com culturas negativas (“abscesso estéril”).
Tratamento: A Grande Diferença
Aqui está o ponto decisivo para a prova e para a prática:
Manejo do Abscesso Amebiano
O tratamento é eminentemente CLÍNICO. A drenagem raramente é necessária.
- Esquema: Antibiótico com ação tecidual (Metronidazol) associado a um com ação luminal (Paromomicina) por 7-10 dias.
Manejo do Abscesso Piogênico
O tratamento é ANTIBIÓTICO + DRENAGEM.
- Antibioticoterapia: Ceftriaxone + Metronidazol por 4-6 semanas (longa duração). Se refratário ou infecção hospitalar: Piperacilina-Tazobactam (Tazocin).
- Drenagem Percutânea (Padrão-Ouro):
- < 4 cm: Drenagem por aspiração com agulha.
- ≥ 4 cm: Drenagem guiada com colocação de cateter (pigtail) mantido até resolução do débito e controle de imagem.
Quando indicar CIRURGIA ABERTA/LAPAROSCÓPICA?
A cirurgia fica reservada para falhas da drenagem percutânea ou complicações:
- Abscessos múltiplos ou loculados (difíceis de acessar percutaneamente).
- Conteúdo muito espesso/viscoso que não drena pelo cateter.
- Refratariedade ao tratamento percutâneo.
- Necessidade de tratar a causa base cirúrgica simultaneamente (ex: apendicectomia ou colecistectomia).
O método que te aprova!
Quer alcançar a aprovação nas provas de residência médica? Então seja um MedCofer! Aqui te ajudaremos na busca da aprovação com conteúdos de qualidade e uma metodologia que já aprovou mais de 35 mil residentes no país! Por fim, acesse o nosso canal do youtube para ver o nosso material.

