As malformações neurológicas são “erros de construção” que ocorrem em diferentes etapas do desenvolvimento embrionário: neurulação (fechamento do tubo), proliferação neuronal, migração ou organização cortical.

Disrafismos: Defeitos do Fechamento do Tubo Neural
O termo Disrafismo refere-se à falha no fechamento ósseo posterior do esqueleto axial (seja craniano ou espinhal). O uso de ácido fólico no período periconcepcional é o principal fator protetor.
Classificação dos Disrafismos Espinhais
A distinção crucial é a presença ou não de pele recobrindo a lesão:
- Disrafismo Aberto (Não recoberto por pele):
- Mielomeningocele (MMC): É o defeito mais comum. O saco herniário contém meninges + medula/raízes nervosas. 80% são lombossacrais. Está quase invariavelmente associada a Chiari II.
- Mielocele: Apenas a medula hernia e fica exposta, sem o recobrimento meníngeo cístico clássico.
- Meningocele: O saco contém apenas meninges e líquor, sem tecido nervoso.
- Disrafismo Fechado (Oculto):
- A lesão é recoberta por pele. Pode haver estigmas cutâneos (tufos pilosos, hemangiomas, fossetas) indicando a malformação subjacente.
Disrafismos Cranianos
- Encefalocele: Falha óssea com exteriorização de meninges e tecido encefálico.
- Meningocele Craniana: Apenas meninges se exteriorizam.
Malformações de Fossa Posterior
Aqui, a anatomia radiológica é decisiva.
Malformações de Chiari
São anomalias da junção craniocervical. A classificação detalhada inclui:
- Chiari I: Herniação apenas das tonsilas cerebelares pelo forame magno. Pode ser assintomático ou gerar cefaleia tussígena/siringomielia. Tratamento: Descompressão se sintomático.

- Chiari II (Arnold-Chiari): Herniação das tonsilas + Vérmis Cerebelar + Tronco encefálico. Associação: Quase 100% associado à Mielomeningocele lombossacral. Requer correção cirúrgica precoce (intraútero ou <72h).
- Chiari III: Semelhante ao II, mas com encefalocele occipital/cervical alta.
- Chiari IV: Hipoplasia cerebelar grave sem herniação.
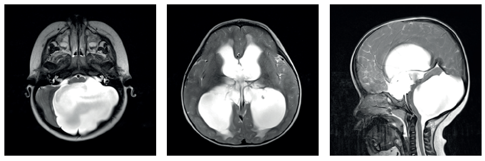
Malformação de Dandy-Walker
A tríade diagnóstica clássica na RM é:
- Hipoplasia ou agenesia do vérmis cerebelar (com rotação cefálica do remanescente).
- Dilatação cística do IV ventrículo.
- Aumento volumétrico da fossa posterior.

Distúrbios da Migração e Organização Cortical
Estas são causas frequentes de epilepsia refratária e atraso no desenvolvimento. Ocorrem quando os neurônios não chegam ao local correto ou não se organizam em camadas.
Lisencefalia (“Cérebro Liso”)
Falha grave na migração. O córtex fica espesso e com poucas ou nenhuma circunvolução.
- Agiria: Ausência total de giros.
- Paquigiria: Giros poucos, largos e rasos.
- Genética: Gene LIS1 (PAFAH1B1) em 60% dos casos.
Heterotopias
Neurônios que interromperam a migração e ficaram “no meio do caminho”.
- Nodular Periventricular: Nódulos de substância cinzenta colados à parede dos ventrículos (é a forma mais comum).

- Em Banda (Córtex Duplo): Uma faixa de substância cinzenta no meio da substância branca, entre o ventrículo e o córtex.
Esquizencefalia
É uma fenda revestida por substância cinzenta (polimicrogiria) que comunica o espaço subaracnoideo com o ventrículo.
- Lábios Fechados (Tipo I): As paredes da fenda se tocam.
- Lábios Abertos (Tipo II): Há um canal de líquor comunicando as cavidades.
- Diferencial com Porencefalia: Na porencefalia (destruição tecidual), a cavidade é revestida por substância branca/gliose, não por substância cinzenta.
Displasia Cortical Focal
Principal causa de epilepsia focal estrutural em crianças. Classificação atual:
- Tipo I (Leve): Anormalidade na arquitetura (laminação) cortical.
- Tipo II (Grave/Taylor): Presença de células anormais (neurônios dismórficos ou células em balão).
- Sinal na RM: “Transmantle sign” (hipersinal em T2/FLAIR que se estende do córtex até o ventrículo). Tem excelente resposta cirúrgica.
- Tipo III (Associada): DCF junto com outra lesão (ex: Esclerose Mesial Temporal, Tumor Glioneural ou Malformação Vascular).
Malformações do Prosencéfalo (Linha Média)
Holoprosencefalia
Falha na clivagem (separação) dos hemisférios cerebrais. Pode ser Alobar (fusão total – mais grave), Semilobar ou Lobar. Frequentemente associada a defeitos faciais (ciclopia, fenda labial central).

Displasia Septo-Óptica (Sd. de Morsier)
Tríade (30% dos casos completos):
- Hipoplasia do Nervo Óptico.
- Disfunção Hipotálamo-Hipofisária (deficiência de GH, hipotireoidismo).
- Defeitos de Linha Média (ausência de septo pelúcido e corpo caloso).

Síndromes do Tronco Encefálico (Nervos Cranianos)
- Síndrome de Moebius: Agenesia dos núcleos dos pares cranianos VI (Abducente) e VII (Facial).
- Clínica: “Fácies em máscara” (paralisia facial) + Estrabismo convergente (não abduz o olho).

- Síndrome de Duane: Agenesia isolada do VI par (Abducente) com inervação anômala do Reto Lateral pelo III par.
- Clínica: Retração do globo ocular e estreitamento da fenda palpebral na tentativa de adução.
Conquiste a aprovação e acompanhe mais notícias!
Gostou do conteúdo? Continue acompanhando nosso blog para ficar por dentro das principais notícias sobre residência médica, editais e oportunidades que podem transformar sua carreira!

