
A oncologia pediátrica é um campo de alta complexidade, responsável por cerca de 2,5% de todos os casos de câncer no Brasil. Embora a sobrevida em centros desenvolvidos ultrapasse os 70%, a média nacional ainda é mais baixa, tornando a suspeita precoce e o encaminhamento rápido fatores cruciais.
Muitas vezes, o primeiro contato com essa criança será no pronto-socorro ou no ambulatório, com queixas aparentemente comuns.
Quando Suspeitar?
Diferente do adulto, os sinais e sintomas em pediatria são frequentemente inespecíficos. Fique atento a padrões que fogem do comum:
- Febre: Especialmente se prolongada e sem foco infeccioso claro (pode indicar Leucemias, Linfomas, Neuroblastoma, Ewing).
- Dor Óssea: Um sinal de alerta maior. Dor que é incapacitante, não deixa a criança brincar, causa irritabilidade ou a acorda à noite (Leucemias, Neuroblastoma, Tumores Ósseos).
- Perda de Peso: Principalmente em Linfomas e Neuroblastoma.
- Palidez e Fadiga: Sugere infiltração medular (Leucemias, Linfomas, Neuroblastoma, Ewing, Rabdomiossarcoma, Wilms).
- Sangramentos Anormais: Petéquias e equimoses desproporcionais (Leucemias, tumores infiltrando medula óssea).
- Linfadenopatia: Especialmente se não melhora com antibioticoterapia.
- Cefaleia e Vômitos: Sinais clássicos de hipertensão intracraniana (Tumores de SNC).

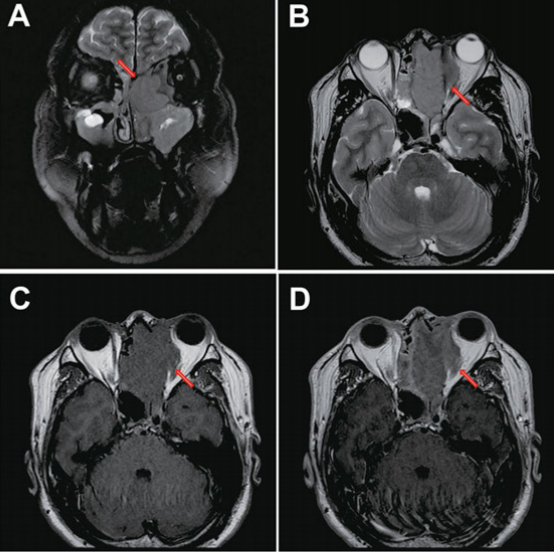
Tumores de Sistema Nervoso Central (SNC)
Os tumores de SNC são as neoplasias sólidas mais comuns na infância, com 50-60% localizados na fossa posterior (infratentoriais). Os sintomas variam drasticamente com a localização:
- Tumores Infratentoriais (Fossa Posterior):
- Sintoma clássico: Hidrocefalia obstrutiva. Isso se traduz em cefaleia crônica e progressiva, irritabilidade e, classicamente, vômitos matinais.
- Ataxia: Ocorre por afetação do cerebelo.
- Em lactentes: Os sintomas de HIC podem ser mascarados pelo aumento do perímetro cefálico (PC) e abaulamento de fontanela.
- Tumores Supratentoriais:
- Sinal clássico: Crises epilépticas de início abrupto.
- Podem apresentar déficits motores/sensitivos focais ou alterações comportamentais.
- Tumores de Tronco Encefálico:
- Apresentam-se com déficits de nervos cranianos (ex: estrabismo, perda auditiva) e déficits motores.
O diagnóstico é feito por TC ou RNM de crânio e confirmado por biópsia.
Neoplasias Hematológicas
Leucemia Linfóide Aguda (LLA)
A LLA é a neoplasia mais comum da infância (30% dos cânceres em < 15 anos), com pico de incidência entre 3 e 5 anos.
- Quadro Clínico: Geralmente agudo (dias a semanas). Apresenta-se com os “3 P’s” da falência medular: Palidez (anemia), Petéquias/Púrpuras (plaquetopenia) e Propensão a infecções (neutropenia).
- Sinais Específicos: Dor óssea intensa, hepatoesplenomegalia, adenomegalias e aumento testicular indolor. A invasão do SNC pode causar paralisia facial.
- Diagnóstico: A confirmação é feita pelo Mielograma, que deve mostrar $\ge 25\%$ de linfoblastos.
- Pior Prognóstico: Idade (< 1 ano ou > 10 anos), Leucometria inicial > 100.000, e a translocação t(9;22) (Cromossomo Philadelphia).


Leucemia Mieloide Aguda (LMA)
Representa 15-20% das leucemias em < 15 anos.
- Quadro Clínico: Semelhante à LLA (febre, sangramentos).
- Sinal Diferencial: É mais comum ocorrer infiltração de outros sítios, formando o Cloroma (acúmulo extramedular de blastos), frequentemente em face, órbita ou crânio.
- Atenção: O subtipo M3 frequentemente cursa com fenômenos hemorrágicos graves, como CIVD.
- Diagnóstico: Mielograma com 20-25% de blastos mielóides.


Linfomas
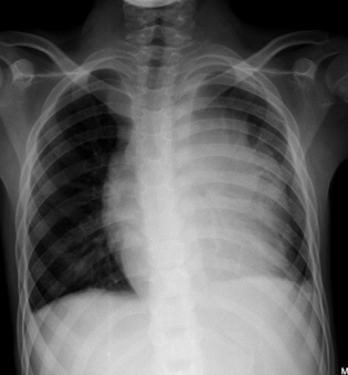
- Linfoma de Hodgkin (LH): O quadro clássico é uma massa tumoral de crescimento progressivo e contíguo, 60% em região cervical ou supraclavicular. 2/3 dos pacientes apresentam alargamento do mediastino. A presença de Sintomas B (febre, perda de peso > 10% em 6 meses, sudorese noturna) é fundamental.

- Linfoma Não-Hodgkin (LNH): É o 3º câncer mais frequente. A principal característica é o crescimento rápido, e muitos pacientes já se apresentam ao diagnóstico com sinais de falência medular. O Linfoma de Burkitt é um subtipo comum.
O diferencial das Massas Abdominais
Este é um dos cenários mais clássicos da oncopediatria. As três neoplasias abdominais mais frequentes são Neuroblastoma, Tumor de Wilms e Hepatoblastoma.
| Característica | Neuroblastoma | Tumor de Wilms (Nefroblastoma) | Hepatoblastoma |
| Idade Pico | < 2 anos (média 22 meses) | 3 – 4 anos | 6 meses – 3 anos |
| Apresentação | Sistêmico: Criança em mau estado geral, febre, dor óssea, perda de peso. | Localizado: Criança geralmente assintomática, bom estado geral. | Geralmente massa assintomática. |
| Massa Abdominal | Ultrapassa a linha média. | Não ultrapassa a linha média. | Massa hepática. |
| Sinais Clássicos | Equimose periorbitária (olhos de guaxinim), nódulos subcutâneos (blueberry muffins). | Tríade: Massa abdominal, Hematúria (25%), HAS (25%). | Anorexia, perda de peso. |
| Marcador | Aumento de catecolaminas urinárias (VMA e Ácido Homovanílico). | Nenhum específico. | Elevação de Alfafetoproteína (AFP). |
| Radiologia | Calcificações são frequentes. | Calcificações são raras. | Massa hepática. |
| Prognóstico | Pior prognóstico, metástases frequentes ao diagnóstico. | Bom prognóstico, metástases raras. | Depende da ressecção. |
Tumores Ósseos: o grande dilema da dor
A dor óssea é o sintoma central. O diferencial clássico se dá entre os dois tumores ósseos malignos mais comuns:
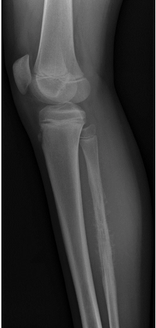
Osteossarcoma
- Perfil: É o mais comum (60% dos tumores ósseos). O pico ocorre na segunda década, durante o estirão da puberdade.
- Localização: Metáfise de ossos longos, principalmente fêmur distal e tíbia proximal (região do joelho).
- Clínica: Apresentação localizada. Dor persistente e progressiva, aumento de volume e sinais flogísticos locais (calor e eritema).
- Diagnóstico: RX ósseo com imagem característica de “raios de sol” (sunburst). O principal sítio de metástase é o pulmão.
- Tratamento: Quimioterapia (QT) neoadjuvante + Cirurgia + QT adjuvante.

Sarcoma de Ewing
- Perfil: Tumor raro, também com pico na $2^{a}$ década. 50% ocorrem no esqueleto axial.
- Clínica: Apresentação sistêmica. Além da dor localizada, cursa com emagrecimento, febre e anemia.
- Diagnóstico: RX ósseo com achado típico de “casca de cebola” (onion skin). Requer estadiamento completo, incluindo mielograma/biópsia de medula óssea.
- Tratamento: QT + Cirurgia ou Radioterapia (RTX) + QT.

O diagnóstico precoce em oncopediatria muda drasticamente o prognóstico. A suspeita clínica correta e o encaminhamento ágil são nossas ferramentas mais importantes.
Conquiste a aprovação e acompanhe mais conteúdos!
Gostou do conteúdo? Continue acompanhando nosso blog para ficar por dentro das principais notícias sobre residência médica, editais e oportunidades que podem transformar sua carreira!

