
A Bucofaringolaringologia é um pilar central da Otorrinolaringologia, abrangendo patologias da faringe e da laringe.
As afecções dessa região são cruciais, pois impactam funções vitais como a respiração, a fonação e a deglutição.
Na prática clínica, as queixas relacionadas a esta área são frequentemente encontradas inseridas no contexto das grandes áreas médicas, como clínica médica, cirurgia geral e pediatria.
Patologias da Faringe e Tonsilas
As faringoamigdalites, processos inflamatórios das tonsilas, faringe posterior e palato mole, são classificadas etiologicamente em infecciosas (virais, bacterianas, fúngicas) e não infecciosas.
Faringoamigdalites Virais
Representam a causa mais frequente:
- Agentes Comuns: Incluem Adenovírus, Rinovírus e Coronavírus.
- Quadro Clínico: Caracteriza-se por sintomas sistêmicos como febre e mialgia, associados a sintomas locais como coriza, tosse, odinofagia e rinorreia.
- Tratamento: É focado em sintomáticos e hidratação, sendo uma doença autolimitada.
- Mononucleose Infecciosa: Causada primariamente pelo Epstein-Barr vírus (EBV), pode apresentar odinofagia persistente. Sinais específicos incluem adenopatia cervical posterior, edema de úvula e hepatoesplenomegalia. O diagnóstico laboratorial pode revelar linfocitose (>50%) com atipia (>10%) e anticorpos heterófilos (Reação de Paul-Bunnel-Davidson). O uso de amoxicilina está associado ao desenvolvimento de rash cutâneo.

Rash cutâneo ao exame de mononucleose infecciosa associada à amoxicilina. ABORL-CCF. Tratado de Otorrinolaringologia da ABORL-CCF. São Paulo: Atheneu, 2017. Ónodi-Nagy K, Kinyó Á, Meszes A, Garaczi E, Kemény L, Bata-Csörgő Z. Amoxicillin rash in patients with infectious mononucleosis: evidence of true drug sensitization. Allergy Asthma Clin Immunol. 2015 Jan 9;11(1):1. doi: 10.1186/1710-1492-11-1. PMID: 25784943; PMCID: PMC4362637.
Herpangina: Causada pelo vírus Coxsackie, é mais comum em crianças. O exame físico revela vesículas em base eritematosa que formam úlceras rasas.
Faringoamigdalites Bacterianas
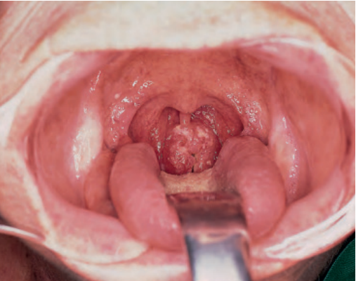
- Faringoamigdalite Estreptocócica: Causada pelo Streptococcus pyogenes beta-hemolítico do grupo A (GAS). O quadro clássico cursa com febre persistente, odinofagia, petéquias em palato, exsudato tonsilar e adenopatia cervical anterior, geralmente com ausência de sintomas gripais.

Apresentação clínica da faringoamigdalite estreptocócica. Fonte: Acervo de aulas do Grupo MedCof.
- Diagnóstico: Os Critérios de Centor (clássicos: febre, exsudato, adenopatia cervical anterior, ausência de tosse; modificados: idade) guiam a decisão de testar. O padrão-ouro é a cultura de orofaringe; o teste rápido (strep test) tem alta especificidade (95%).
- Tratamento: O objetivo é reduzir sintomas, erradicar a bactéria, prevenir complicações supurativas e, crucialmente, prevenir a febre reumática. O tratamento não previne a glomerulonefrite pós-estreptocócica. A antibioticoterapia de escolha inclui Amoxicilina por 10 dias ou Penicilina benzatina IM.
- Difteria: Causada pelo Corynebacterium diphtheriae, hoje rara devido à vacinação. Caracteriza-se por placas pseudomembranosas aderentes às tonsilas e úvula. O tratamento envolve soro antidiftérico e antibioticoterapia (Penicilina procaína ou Eritromicina). Complicações graves, mediadas pela toxina, incluem miocardite e polineuropatia.

Apresentação clínica. Fonte: Acervo de aulas do Grupo MedCof.
Outras Causas
- PFAPA (Periodic fever, aphthous stomatitis, pharyngitis and adenitis): Causa mais comum de febre periódica na infância. Diagnóstico baseado nos critérios de Lawton modificados (3 episódios febris regulares, faringite e/ou adenopatia e/ou aftas). O tratamento pode incluir Prednisona na crise e amigdalectomia para resolução.
Complicações Infecciosas e Abscessos Cervicais
As complicações das faringoamigdalites podem ser supurativas ou não supurativas (ex: febre reumática, escarlatina). As complicações supurativas, como os abscessos cervicais, são infecções graves com alta morbidade, geralmente polibacterianas.

Abaulamentos cervicais. Fonte: https://www.mdedge.com/familymedicine/article/106281/ dermatology/red-swollen-neck e Gu, Xiang & Chen, Wei & Yuan, Kun & Tan, Jian & Sun, Suguang. (2021). The efficacy of artificial dermis combined with continuous vacuum sealing drainage in deep neck multiple spaces infection treatment. Medicine. 100. e24367. 10.1097/ MD.0000000000024367. Acesso em: 19 abr. 2023.
Sinais de Alarme para Complicações:
- Queda do estado geral, sepse.
- Abaulamento periamigdaliano com desvio contralateral de úvula.
- Trismo (dificuldade de abertura bucal).
- Disfagia e dispneia.
- Abamento ou hiperemia cervical/torácica.
A conduta na suspeita de complicação inclui internação hospitalar, antibioticoterapia endovenosa de largo espectro (ex: Ceftriaxona + Clindamicina) e TC de pescoço e tórax com contraste.
- Abscesso Periamigdaliano: Coleção entre a cápsula da amígdala e o músculo constritor superior da faringe. Causa piora da odinofagia com lateralidade e voz “em batata quente”. O tratamento é a drenagem (punção ou cirúrgica).
- Abscessos Cervicais Profundos: Disseminam-se através dos espaços fasciais cervicais, frequentemente de origem odontogênica ou faringotonsilar.
- Angina de Ludwig: Celulite dos espaços do assoalho bucal (submandibular, sublingual, submentual), comumente de origem odontogênica. Apresenta risco importante de obstrução de via aérea por elevação da língua.
- Síndrome de Lemierre: Tromboflebite séptica da veia jugular interna, uma disseminação do abscesso para o espaço vascular. Associa-se a êmbolos sépticos para órgãos distantes (ex: pulmão).
- Fasceíte Necrotizante Cervical: Infecção rapidamente progressiva com alta mortalidade. Caracteriza-se pela presença de gás no subcutâneo (crepitação à palpação) e rápida extensão para o mediastino.
Anatomia e Fisiologia da Laringe
A laringe é um complexo músculo-cartilaginoso composto por cartilagens (ex: Tireoide, Cricoidea, Aritenóideas, Epiglote) e o Osso Hioide.

Anatomia da Faringe. Fonte: Acervo de ilustrações do Grupo MedCof.
Funções da Laringe:
- Esfincteriana: Proteção das vias aéreas.
- Respiratória:
- Fonatória:

Processos de proteção da via respiratória. Fonte: Acervo de ilustrações do Grupo MedCof.

Endoscopia mostrando pregas vocais. Fonte: Acervo de aulas do Grupo MedCof.
As Pregas Vocais (PPVV) possuem múltiplas camadas, incluindo o Espaço de Reinke (camada superficial da lâmina própria). A musculatura intrínseca modula a posição e tensão das PPVV:
- Adutores (fechamento/fonação): M. Tireoaritenoideo, M. Cricoaritenóideo lateral, M. Aritenoideo transverso e oblíquo.
- Abdutor (abertura/respiração): M. Cricoaritenoideo posterior.
A inervação é feita pelos nervos laríngeo superior (sensibilidade supraglótica/glótica, m. cricotireoideo) e laríngeo inferior/recorrente (demais músculos intrínsecos, sensibilidade subglótica). Uma correlação topográfica útil é: supraglote (disfagia), glote (disfonia) e subglote (dispneia).
Patologias da Laringe: Disfonias
Disfonia é qualquer perturbação na emissão vocal.
- Aguda (< 2 semanas): Geralmente benigna. Causas incluem laringite aguda (viral, refluxo, abuso vocal) e hemorragia de prega vocal (disfonia súbita após ruptura vascular no espaço de Reinke).
- Crônica (> 2 semanas): Requer investigação obrigatória com laringoscopia ou nasofibroscopia.
Classificação das Disfonias Crônicas:
- Funcionais: Mau uso da voz sem alteração estrutural visível.
- Orgânico-Funcionais (Lesões Fonotraumáticas):
- Nódulos Vocais: Lesões bilaterais e simétricas (1/3 anterior/médio das PPVV), comuns em mulheres e crianças. Tratamento inicial é fonoterapia.
- Pólipo Vocal: Geralmente unilateral, com disfonia de início súbito. Tratamento microcirúrgico.
- Edema de Reinke: Lesão bilateral e assimétrica do espaço de Reinke, fortemente associada ao tabagismo. Não é lesão pré-maligna.
- Orgânicas:
- Papilomatose Respiratória Recorrente: Causada pelo HPV (subtipos 6, 11, 16, 18). A forma juvenil é mais agressiva, com necessidade de múltiplas cirurgias. A transmissão vertical pode ocorrer apesar da via de parto. O tratamento visa o controle das lesões, não a eliminação do vírus.
- Paralisia de Pregas Vocais (PPVV): Alteração da inervação (nervo laríngeo recorrente ou superior). Etiologias comuns são traumáticas ou cirúrgicas (ex: tireoidectomias).
- Paralisia Unilateral: Causa voz fraca (soprosa) e aspiração. O tratamento (ex: Tireoplastia tipo I, injeções intracordais) visa medializar a prega paralisada.
- Paralisia Bilateral: Em posição mediana, é uma emergência respiratória. Causa dispneia aos esforços. O tratamento prioriza a via aérea, frequentemente exigindo traqueostomia.

Representação das paralisias unilaterais e bilaterais. Fonte: Acervo de ilustrações do Grupo MedCof.
Patologias da Laringe: Estridores Laríngeos
Estridor é uma respiração ruidosa por estreitamento da via aérea. Em crianças, 1 mm de edema na região cricoide pode representar 60% de obstrução.
Causas Congênitas
- Laringomalácia: Causa mais comum de estridor na infância. É um colabamento das estruturas supraglóticas na inspiração. O estridor inspiratório piora entre 4-8 meses e tende à autoresolução até os 2 anos. Casos graves (10%), com apneia ou dificuldade ponderal, podem exigir cirurgia (supraglotoplastia).
- Paralisia de PPVV (Congênita): A forma bilateral causa obstrução de via aérea e pode estar associada à malformação de Arnold-Chiari.
- Estenose Subglótica: 3ª causa mais frequente de estridor congênito. A maioria dos casos (90%) é adquirida, principalmente por intubação orotraqueal (IOT) prolongada.
Causas Infecciosas (Estridor Agudo)
- Laringotraqueobronquite (Crupe Viral): Principal agente é o Parainfluenza tipo 1. Causa tosse ladrante, rouquidão e estridor inspiratório. A radiografia cervical pode mostrar o “sinal da Torre” (estreitamento subglótico). O tratamento inclui corticoterapia e, em casos graves, nebulização com adrenalina.
- Epiglotite/Supraglotite Aguda: Causada pelo Haemophilus influenzae tipo B (incidência decrescente). É um quadro súbito de odinofagia intensa, sialorreia, febre alta e dificuldade respiratória, com o paciente assumindo posição característica (pescoço estendido, boca entreaberta).
Distúrbios da Deglutição e Respiração
Disfagia
Disfagia é a dificuldade de engolir o alimento, podendo ocorrer em qualquer fase da deglutição (oral, faríngea, esofágica).
- Etiologias: Variadas, incluindo neurológicas (AVC, Parkinson), estruturais (tumores) e presbifagia (envelhecimento).
- Quadro Clínico: Engasgos frequentes, dor à deglutição, regurgitação nasal e pneumonia aspirativa.
- Diagnóstico: Videodeglutograma (avalia todas as fases com bário) ou Videoendoscopia da Deglutição (VED/FEES) (avaliação funcional sem fase esofágica).
- Tratamento: Focado no controle da doença de base, reabilitação fonoaudiológica e prevenção de aspiração (adequação de consistências, sonda nasoenteral ou gastrostomia).

Fisiologia da deglutição. Fonte: Acervo de aulas do Grupo MedCof.
Síndrome do Respirador Bucal (Infância)
Adaptação patológica da respiração nasal para oral.
- Causas: Rinite alérgica e hipertrofia de amígdalas e adenoide são as principais.
- Quadro Clínico: Roncos, dormir de boca aberta, sono agitado.
- Repercussões: Desenvolvimento facial desarmônico (palato em ogiva, mordida cruzada), disfunção tubária (otite média secretora) e apneia do sono (SAHOS).
- Tratamento: A adenoamigdalectomia é indicada em casos de SAHOS associada.
Síndrome da Apneia Obstrutiva do Sono (SAHOS)
Colapso da via aérea superior durante o sono, levando a hipopneias e apneias. Isso causa microdespertares, fragmentação do sono e dessaturação.
- Fatores de Risco: Sexo masculino, idade > 40 anos e obesidade.
- Quadro Clínico: Roncos noturnos, apneias testemunhadas, sonolência diurna excessiva (avaliada pela Escala de Epworth) e cefaleia matinal.
- Diagnóstico: O exame padrão-ouro é a Polissonografia, que calcula o Índice de Apneia-Hipopneia (IAH). IAH > 25 é considerado grave.
- Tratamento:
- Clínico: Mudanças de estilo de vida (perda de peso). O CPAP (pressão positiva contínua de ar) é o padrão-ouro para casos moderados e graves.
- Cirúrgico: Uvulopalatofaringoplastia (eficaz em pacientes selecionados, ex: Mallampati I ou II, IMC < 40) ou Traqueostomia (casos refratários graves).
Câncer de Hipofaringe e Laringe
Anatomia Detalhada e Inervação
O conhecimento dos nervos é crucial para entender as sequelas pós-operatórias e a fisiologia da deglutição/fonação.

Inervação da Laringe (Nervo Vago – X Par)
- Nervo Laríngeo Superior: Divide-se em dois ramos.
- Ramo Interno: Responsável pela sensibilidade da supraglote e da hipofaringe (fundamental para o reflexo de tosse e proteção contra aspiração).

- Ramo Externo: Inerva exclusivamente o músculo cricotireoideo (tensor da prega vocal – agudos).
- Nervo Laríngeo Inferior (Recorrente): Inerva toda a musculatura intrínseca da laringe, exceto o cricotireoideo.

Subsítios da Hipofaringe (Percentuais de Acometimento)
- Seio Piriforme: Sítio mais comum (65-85% dos casos).

- Parede Posterior: 10-20%.

- Área Pós-Cricoide: 5-15%.

Epidemiologia e Fatores de Risco Específicos
- Incidência no Brasil: Aproximadamente 2,9 casos/100.000 habitantes. É o 9º câncer mais frequente em homens.
- Suspeição Clínica (Regra de Ouro): Deve-se suspeitar de câncer de laringe em todo tabagista com disfonia ou disfagia por mais de 14 dias.
- Síndrome de Plummer-Vinson: Associada à deficiência de ferro, é um fator de risco clássico para câncer de hipofaringe (comum na Escandinávia).
Estadiamento TNM Detalhado
O estadiamento define a operabilidade. Aqui estão os cortes exatos que você precisa memorizar.
Estadiamento T – Hipofaringe (Baseado em Tamanho)
- T1: Tumor < 2 cm e limitado a um subsítio.
- T2: Tumor entre 2-4 cm ou invade > 1 subsítio, sem fixação da laringe.
- T3: Tumor > 4 cm OU fixação da hemilaringe.
- T4a (Ressecável): Invade cartilagem tireoide/cricoide, hioide, glândula tireoide ou esôfago.
- T4b (Irressecável): Invade fáscia pré-vertebral, artéria carótida ou mediastino.
Estadiamento T – Glote (Baseado em Função/Mobilidade)
- T1: Limitado às pregas vocais, com mobilidade normal.
- T1a: Uma prega.
- T1b: Ambas as pregas.
- T2: Extensão para supraglote/subglote ou mobilidade reduzida (paresia, não paralisia).
- T3: Limitado à laringe com paralisia de prega vocal.
- T4a: Invasão de cartilagem tireoide (face externa) ou tecidos moles adjacentes.
Estadiamento N (Linfonodos) – Unificado
- N1: Único, ipsilateral, <3 cm.
- N2a: Único, ipsilateral, 3-6 cm.
- N2b: Múltiplos, ipsilaterais, todos < 6 cm.
- N2c: Contralateral ou bilateral, < 6 cm.
- N3a: Qualquer linfonodo > 6 cm.
- N3b: Extravasamento nodal (ENE+) clínico.
Algoritmos de Tratamento e Decisão Terapêutica
A escolha entre cirurgia e radioterapia depende da funcionalidade da laringe.
Protocolo de Preservação de Órgão
Indicado para tumores avançados (Estádios III e IV), mas onde a laringe ainda é funcionante (o paciente não broncoaspira maciçamente).
- Estratégia: Quimioterapia + Radioterapia (QT+RT).
- Resgate: Se o tumor não responder ou recidivar, realiza-se a Laringectomia Total de resgate.
Quando indicar Laringectomia Total Primária?
Quando a laringe já é não funcionante ou há destruição grosseira da cartilagem (T4a extenso), onde a RT não conseguiria restaurar a função.

- Objetivo: Cura oncológica e prevenção de aspiração crônica (pneumonias).
Manejo do Pescoço (Esvaziamento Cervical)
A indicação varia conforme o risco de metástase oculta:
- Supraglote e Hipofaringe: Sempre tratar o pescoço (níveis II a IV, bilaterais muitas vezes), pois o risco de metástase é altíssimo, mesmo em N0 clínico.
- Glote T1/T2: Não se trata o pescoço eletivamente (risco de metástase oculta é muito baixo).
- Glote T3/T4: Tratar pescoço (níveis II a IV; incluir nível VI se extensão subglótica).
Reabilitação Vocal Pós-Laringectomia
Como o paciente vai falar sem as cordas vocais? Existem três métodos principais:

Prepare-se conosco
Quer se preparar para as provas de residência médica de 2025? Então prepare-se com o Grupo MedCof e confira o vídeo no qual nossos especialistas tiram dúvidas sobre as principais residências!

