
O que é o Câncer Colorretal?
O câncer colorretal é um tumor maligno que se desenvolve no intestino grosso (cólon) ou no reto. Muitas vezes, começa com pequenos pólipos, que podem se transformar em câncer ao longo do tempo. A detecção precoce e a remoção desses pólipos são cruciais para prevenir a progressão da doença.
Fatores de Risco e Prevenção do Câncer Colorretal
Diversos fatores podem aumentar o risco de desenvolver câncer colorretal, incluindo:
- Idade: A maioria dos casos ocorre em pessoas com mais de 45 anos;
- Histórico Familiar: Ter parentes de primeiro grau com CCR aumenta o risco;
- Dieta: Uma dieta pobre em fibras e rica em alimentos processados está associada a um maior risco;
- Estilo de Vida: Sedentarismo, tabagismo, etilismo e obesidade são fatores de risco modificáveis;
- Doenças Inflamatórias Intestinais: Retocolite ulcerativa e doença de Crohn aumentam o risco;
- Síndromes Hereditárias: Polipose adenomatosa familiar (PAF) e síndrome de Lynch são condições genéticas que aumentam drasticamente o risco.
A prevenção envolve a adoção de hábitos saudáveis, como uma dieta rica em fibras, prática regular de exercícios físicos, evitar o tabagismo e o consumo excessivo de álcool, e manter um peso saudável.
De acordo com o Dr. Juan Perez, Cirurgião do Aparelho Digestivo pela USP-SP, o câncer colorretal apresenta alternativas para prevenção e diagnóstico precoce, também denominadas de rastreio, diferentemente da maioria dos tumores.
Quando adequadamente realizado, permite a detecção de lesões em fases anteriores a se tornarem câncer e, em casos de tumores malignos, permite o diagnostico precoce permitindo inclusive ressecções pela própria endoscopia sem necessidade de cirurgia.
O rastreio é realizado através de exames específicos, sendo que a sua prática é capaz de aumentar a sobrevida e a cura de 50% dos casos para valores acima de 90% ao longo de 5 anos. Ainda, ele ressalta que apesar de algumas divergências na literatura, recomenda-se o inicio do rastreio aos 50 anos (cada vez mais sendo recomendado o rastreio mais precoce, com inicio aos 45 anos) através de algum dos métodos que descreveremos na sequência.
Como ocorre o rastreamento do Câncer Colorretal?
O rastreamento é a ferramenta mais eficaz para detectar o câncer colorretal em estágios iniciais, quando as chances de cura são maiores. As principais opções de rastreamento incluem:
- Colonoscopia: Exame que permite visualizar todo o cólon e remover pólipos. Recomenda-se a cada 10 anos para pessoas com risco médio;
- Teste Imunoquímico Fecal (TIF): Detecta sangue oculto nas fezes, indicando a necessidade de investigação adicional. Deve ser feito anualmente;
- Sigmoidoscopia: Exame que visualiza apenas a parte inferior do cólon. Pode ser combinada com o TIF;
- Colonografia por Tomografia Computadorizada (CTC): Também conhecida como colonoscopia virtual;
- Teste de DNA Fecal: Analisa o DNA das fezes para detectar sinais de câncer ou pólipos.
Sintomas e Sinais de Alerta
Estar atento aos sintomas é fundamental. Alguns sinais de alerta incluem mudança persistente nos hábitos intestinais (diarreia ou constipação), sangramento retal ou sangue nas fezes, desconforto abdominal frequente, como gases, inchaço, cólicas ou dor, sensação de que o intestino não se esvazia completamente, fraqueza ou fadiga inexplicável e perda de peso sem motivo aparente.
Como tratar o Câncer Colorretal?
O tratamento do câncer colorretal depende do estágio da doença e pode incluir cirurgia, quimioterapia, radioterapia e terapias-alvo. A cirurgia é geralmente o primeiro passo, com o objetivo de remover o tumor e os linfonodos próximos.
Campanha de Conscientização
O mês de março ganha uma nova cor e um propósito vital: o Março Azul Marinho, dedicado à conscientização sobre o câncer colorretal (CCR). Esta campanha, que se estende por todo o mês, visa informar, educar e promover a prevenção e o diagnóstico precoce desta doença que afeta milhares de pessoas em todo o mundo.
Importância da Conscientização
A conscientização é a chave para combater o câncer colorretal. Informar a população sobre os fatores de risco, os sintomas e as opções de rastreamento pode levar a diagnósticos mais precoces e, consequentemente, a melhores resultados no tratamento.
Síndromes Hereditárias do Câncer Colorretal
Cerca de 5% a 10% dos casos de Câncer Colorretal ocorrem em contexto hereditário. O reconhecimento dessas síndromes não apenas previne o câncer no paciente índice, mas desencadeia o rastreamento de familiares em risco (“cascata genética”).
Polipose Adenomatosa Familiar
A Polipose Adenomatosa Familiar é causada por uma mutação germinativa no gene APC (Adenomatous Polyposis Coli), um gene supressor de tumor localizado no cromossomo 5q21.
Fisiopatologia e Clínica
- Penetrância: Completa (100%). Quem tem o gene, terá a doença.
- Fenótipo Clássico: Desenvolvimento de centenas a milhares (>100) de pólipos adenomatosos no cólon e reto, geralmente iniciando na adolescência.
- História Natural: A progressão para adenocarcinoma é inevitável (100% de risco) por volta dos 40 anos se não houver intervenção cirúrgica.
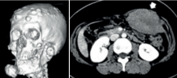
- Manifestações Extracólicas (Síndrome de Gardner): A mutação no gene APC também predispõe a crescimentos anormais em outros tecidos.

- Osteomas (mandíbula).
- Tumores Desmoides (origem no tecido conjuntivo, benignos, mas localmente agressivos e recidivantes, frequentemente desencadeados por trauma cirúrgico).
- Cistos epidermoides e Dentes supranumerários.
- Hipertrofia congênita do epitélio pigmentar da retina (CHRPE).


Rastreamento e Manejo
- Colonoscopia: Iniciar aos 10-12 anos (ou retossigmoidoscopia), repetindo anualmente.
- EDA: Iniciar aos 20-25 anos para rastreio de adenomas duodenais e pólipos de glândulas fúndicas.
- Quimioprevenção: O uso de AINEs (Celecoxib ou AAS) pode reduzir a formação de novos pólipos, sendo útil no pós-operatório de cirurgias com preservação do reto.
Tratamento Cirúrgico
A cirurgia é profilática, indicada preferencialmente entre 15-20 anos. Existem duas técnicas principais:
- Proctocolectomia Total com Bolsa Ileal em “J”: Remove todo o cólon e reto. Necessita de ileostomia de proteção temporária. É a escolha padrão para eliminar o risco de câncer retal.

Colectomia Total com Ileorretoanastomose
Preserva o reto. Indicada apenas se houver poucos pólipos retais (<10) e possibilidade de seguimento rigoroso.

Síndrome de Lynch (HNPCC)
É a síndrome de câncer colorretal hereditário mais comum. Caracteriza-se pela instabilidade de microssatélites (MSI) devido a falhas no sistema de reparo do DNA.
Genética e Risco Oncológico
- Genes Envolvidos: MLH1, MSH2, MSH6, PMS2.
- Carcinogênese Acelerada: A sequência adenoma-carcinoma é muito rápida na Síndrome de Lynch, diferentemente do CCR esporádico.
- Localização: Predominância de tumores no cólon direito.
- Neoplasias Extracólicas: O risco é aumentado significativamente para carcinoma de endométrio, ovário, estômago, intestino delgado, trato urinário (ureter/pelve renal) e sistema nervoso central (gliomas).
Diagnóstico: Critérios de Amsterdam (Regra 3-2-1-1)
Para diagnóstico clínico, todos os critérios devem ser preenchidos:

Terapêutica e Imunoterapia
- Cirurgia: Diante de um CCR, a conduta padrão é a Colectomia Total com ileorretoanastomose, devido ao alto risco de tumores metacrônicos (novos tumores primários no cólon remanescente).
- Terapia Alvo (Imunoterapia): Tumores com instabilidade de microssatélites respondem bem aos inibidores de checkpoint imune (anti-PD1). Drogas como Pembrolizumab, Nivolumab e Ipilimumab são indicadas em doenças metastáticas ou refratárias à quimioterapia convencional.
Síndromes Hamartomatosas
Caracterizam-se pela presença de pólipos hamartomatosos (tecido desorganizado, mas próprio do local).

Síndrome de Peutz-Jeghers
- Gene: STK11 (Autossômica Dominante).
- Pólipos: Hamartomas gigantes, principalmente no intestino delgado (jejuno), podendo causar intussuscepção e obstrução na infância.
- Sinal Patognomônico: Melanose (manchas café-com-leite) em lábios e mucosa oral.

- Risco de Câncer: Elevado para TGI, mama, pâncreas, testículo e colo uterino (adenoma maligno).
Síndrome de Cowden
- Gene: PTEN.
- Associações: Pólipos gastrointestinais múltiplos + risco elevado de Câncer de Mama e Tireoide (folicular/papilífero) + Tricolemomas faciais.
Síndrome de Cronkite-Canada
- Diferencial Importante: É uma síndrome adquirida (não hereditária), afetando idosos.
- Tríade Ectodérmica: Alopecia (queda de cabelo), Onicodistrofia (unhas fracas) e Hiperpigmentação cutânea.
- Clínica: Diarreia crônica com enteropatia perdedora de proteínas e desnutrição grave.
Polipose Associada ao MUTYH (MAP)
É a principal síndrome de herança Autossômica Recessiva (bialélica). O fenótipo é de uma “PAF Atenuada”.
- Quadro: Paciente com 10 a 100 pólipos adenomatosos, mas com teste genético para APC negativo. Deve-se solicitar a pesquisa do gene MUTYH.
Seja um MedCofer!
Quer alcançar a aprovação nas provas de residência médica? Então seja um MedCofer! Aqui te ajudaremos na busca da aprovação com conteúdos de qualidade e uma metodologia que já aprovou mais de 35 mil residentes no país! Por fim, acesse o nosso canal do youtube para ver o nosso material.

