Massas Mediastinais: o raciocínio topográfico e a decisão cirúrgica

0
266

O mediastino é frequentemente descrito como uma “caixa de surpresas”, mas, felizmente para o cirurgião, as patologias que o habitam respeitam barreiras anatômicas rigorosas. A avaliação inicial de qualquer massa mediastinal baseia-se em três pilares fundamentais: Idade, Sexo e Localização. Desses, a localização é o fator preditivo mais forte, definindo o diagnóstico provável em cerca de 80% dos casos.

A regra dos compartimentos

A divisão anatômica é o mapa que orienta a suspeita diagnóstica e a conduta:

  • Mediastino Anterior (60% das massas): É a região mais nobre e frequentemente acometida. As principais etiologias formam o clássico grupo dos “Ts” e linfomas: Timoma (30%), Linfoma (25%) e Tumores de Células Germinativas (15% – Teratomas).
Fonte: https://radiopaedia.org/ 
  • Mediastino Médio (20%): Predomínio de lesões císticas (Cistos Broncogênicos, Pericárdicos, Esofágicos) e Linfonodomegalias (Linfomas ou Metástases).
Fonte: https://radiopaedia.org/ 
  • Mediastino Posterior (20%): O reino dos Tumores Neurogênicos (como os Schwannomas).
Fonte: https://radiopaedia.org/ 

Sintomas e Malignidade

Existe uma correlação clínica importante: se o paciente é sintomático (apresentando tosse, febre, dispneia ou síndrome da veia cava superior) a chance de malignidade é alta (cerca de 85%). Em pacientes assintomáticos, com achados incidentais, essa chance cai para menos de 50%.

Timoma

É o tumor mais comum desta região, típico de adultos entre 30 e 70 anos. Geralmente possui crescimento indolente.

  • A Conexão com Miastenia Gravis: Existe uma relação bidirecional. Cerca de 30% dos pacientes com Timoma desenvolvem Miastenia. Por outro lado, na Miastenia Gravis, a presença do anticorpo Anti-AChR positivo é uma indicação formal de timectomia (retirada do timo), mesmo que não haja tumor visível, visando o controle dos sintomas neurológicos.
  • Tratamento: É fundamentalmente cirúrgico. O fator prognóstico mais importante é a Ressecção R0 (completa).
 1 – Timo;  2 – Traqueia/ligamentos tireotímicos; 3 – Nervo frênico; 4 – Nervo vago/região inicial da artéria braquiocefálica esquerda; 5 – Artéria pulmonar esquerda; 6 – Veias tímicas; 7 – Saco pericárdico; 8 – Diafragma. Fonte: Acervo de Ilustrações do Grupo MedCof.
  • Estadiamento (Masaoka): Define a necessidade de terapia adjuvante. Tumores invasivos (estágios II e III) geralmente requerem radioterapia pós-operatória.

Classificação de Masaoka

  • I – Encapsulado;
  • II – invasão de gordura adjacente;
  • IIa – extravasamento microscópico; 
  • IIb – extravasamento macroscópico; 
  • III – invasão pericárdio, vasos e pulmão; 
  • IVa – disseminação intratorácica; 
  • IVb – disseminação hematogênica e linfática;

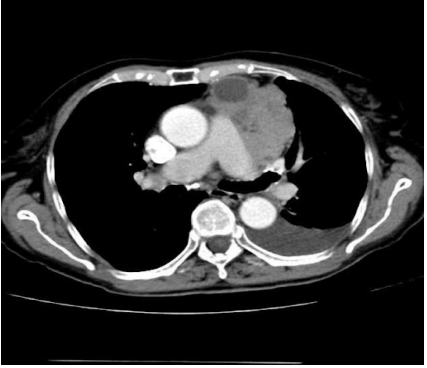
Linfoma

Acomete predominantemente pacientes jovens e pode ocupar tanto o mediastino anterior quanto o médio.

  • Quadro Clínico: Frequentemente associado a sintomas sistêmicos, os chamados Sintomas B (febre, sudorese noturna profusa, perda de peso inexplicada).
  • Regra de Ouro: Linfoma não se opera com intuito curativo! O tratamento é sistêmico (Quimioterapia + Radioterapia). O papel do cirurgião restringe-se à biópsia diagnóstica, caso os métodos menos invasivos falhem.
  • Cuidado: Em massas grandes, há risco de compressão da via aérea, podendo exigir traqueostomia de urgência.
Linfoma ao lado direito do mediastino. Fonte: Acervo de aulas do Grupo MedCof.

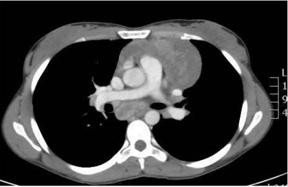
Tumores de Células Germinativas

Também localizados no mediastino anterior, dividem-se em três grupos. A dosagem de marcadores (Alfa-fetoproteína e Beta-HCG) é mandatória e pode dispensar a biópsia.

  1. Teratoma Maduro: Benigno. Contém tecidos de várias origens (cabelo, dente, gordura). Um sintoma raro e patognomônico é a tricoptise (tossir cabelos) se houver fístula para a via aérea. O tratamento é a ressecção cirúrgica.
Teratoma. Fonte: Acervo de Aulas do Grupo MedCof
  1. Seminomatosos: Quase exclusivos de homens. O marcador PLAP (Fosfatase Alcalina Placentária) é positivo, mas não elevam Alfa-feto nem Beta-HCG. Têm bom prognóstico e são muito radiossensíveis (QT + RT seguida de cirurgia se houver massa residual).
  2. Não-Seminomatosos: Homens jovens (forte associação com Síndrome de Klinefelter). Elevam Alfa-fetoproteína e Beta-HCG. São tumores agressivos, heterogêneos e invasivos à tomografia. O prognóstico é reservado.

Cistos e Tumores Neurogênicos

  • Cistos (Mediastino Médio): Geralmente são benignos e assintomáticos. O cisto pericárdico merece atenção especial da equipe de anestesia: ao relaxar a musculatura na indução, o cisto pode comprimir o coração e causar parada cardíaca por baixo débito.
Tipos de cistos. Fonte: Acervo de Aulas do Grupo MedCof. 
  • Schwannoma (Mediastino Posterior): Tumor benigno da bainha neural. A preocupação principal é a invasão do forame intervertebral (tumor em “halteres” ou “ampulheta”), comprimindo a medula espinhal. Nesses casos, a cirurgia exige laminectomia prévia ou combinada com a toracotomia para evitar lesão medular.
Fonte: Acervo de aulas do Grupo MedCof. 

A decisão da biópsia: Fazer ou Não Fazer?

Esta é uma “pegadinha” frequente na prática e em provas:

  • Se você encontrar uma massa no mediastino anterior ressecável (> 5cm) e com suspeita de Timoma ou Teratoma: NÃO faça biópsia. A conduta é a ressecção cirúrgica completa (Timectomia). A biópsia prévia pode romper a cápsula e disseminar o tumor no espaço pleural.
  • Quando biopsiar? Se houver suspeita forte de Linfoma, tumores irressecáveis (invasão de grandes vasos) ou dúvida diagnóstica persistente (ex: homem jovem com massa anterior e marcadores negativos).

Conquiste a aprovação e acompanhe mais notícias!

Gostou do conteúdo? Continue acompanhando nosso blog para ficar por dentro das principais notícias sobre residência médica, editais e oportunidades que podem transformar sua carreira!

Autor

  • Kiara Adelino

    Estudante do 5° semestre de Medicina. Gosto bastante de aprender coisas novas, principalmente na área de Neurologia e Anatomia humana.