
A cirurgia da face representa um campo desafiador e detalhado da medicina, englobando desde o manejo de traumas complexos até a restauração funcional e estética em casos de paralisia. Para o médico em formação, dominar os princípios de diagnóstico e tratamento dessas condições é fundamental.
Manejo das Fraturas de Face
O trauma facial exige uma abordagem sistemática, iniciando-se sempre com o protocolo ATLS (Advanced Trauma Life Support) para garantir a estabilização do paciente. A avaliação primária deve focar em especificidades como a presença de sangue, corpos estranhos ou fragmentos ósseos que possam comprometer as vias aéreas. Somente após a estabilização, procede-se à avaliação secundária minuciosa da face.
Diagnóstico e Princípios de Tratamento
O diagnóstico das fraturas faciais é fundamentado na combinação do exame físico e de imagem. A palpação pode revelar crepitações, afundamentos e dor localizada, enquanto a inspeção avalia a mímica facial, a oclusão dentária, a presença de hematomas e epistaxe.

O exame padrão-ouro para o diagnóstico é a Tomografia Computadorizada (TC) de face com reconstrução 3D, que oferece uma visualização detalhada das estruturas ósseas nos planos axial, coronal e sagital.


O tratamento cirúrgico, quando indicado, visa a redução anatômica dos fragmentos e a fixação interna com placas e parafusos. O momento ideal para a intervenção é o reparo precoce, realizado entre 5 e 14 dias após o trauma, quando o edema inicial já regrediu, facilitando a mobilização das estruturas e a avaliação da simetria facial. O reparo tardio é tecnicamente mais complexo devido à fibrose e à consolidação viciosa dos ossos.
É crucial afastar três urgências cirúrgicas que exigem intervenção imediata:
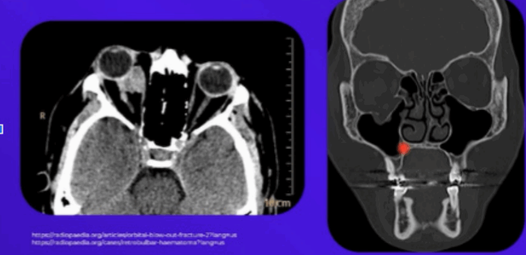
- Hematoma retrobulbar: Acúmulo de sangue atrás do globo ocular que pode levar à perda de visão definitiva.

- Encarceramento do músculo reto inferior: Comum em fraturas do assoalho da órbita, causa diplopia e pode induzir o reflexo óculo-cardíaco (bradicardia, náuseas).

- Hematoma de septo nasal: Coleção de sangue no septo que pode necrosar a cartilagem, resultando em deformidade de “nariz em sela”, ou dissecar posteriormente, causando obstrução aguda de via aérea.

Tipos Específicos de Fraturas Faciais
- Fratura Frontal: Envolve a tábua anterior e/ou posterior do seio frontal. Clinicamente, pode apresentar laceração, afundamento (muitas vezes mascarado por edema), hipoestesia por lesão do nervo supraorbital e, em casos de fratura da parede posterior com laceração dural, rinorreia liquórica e pneumoencéfalo. Complicações tardias incluem mucocele por obstrução do ducto nasofrontal.
- Fratura Orbital: A órbita é composta por 7 ossos, sendo as paredes medial e inferior as mais frágeis. A fratura do tipo “Blow-Out” ocorre por um aumento súbito da pressão intraorbital, que leva à fratura dessas paredes frágeis e herniação do conteúdo orbitário para os seios maxilar e etmoidal. Os sinais clássicos incluem diplopia, enoftalmia (afundamento do globo ocular) e restrição da motilidade ocular, especialmente na elevação do olhar, devido ao encarceramento do músculo reto inferior.
- Fratura Naso-Órbito-Etmoidal (NOE): Trauma complexo que envolve os ossos nasal, maxilar, frontal, lacrimal e etmoide. O sinal clínico patognomônico é o telecanto traumático, um alargamento da distância intercantal devido à desinserção do tendão cantal medial. A classificação de Markowitz (Tipos I, II e III) guia o tratamento, que se baseia na gravidade da cominuição óssea e na integridade do tendão cantal.

- Fratura de Zigoma: O complexo zigomático-maxilar é fundamental para a projeção da região malar e a arquitetura da órbita. Fraturas podem causar afundamento do malar, distopia ocular (alteração na altura do globo ocular), lesão do nervo infraorbital e trismo por interferência com o processo coronoide da mandíbula. O tratamento cirúrgico é indicado quando há diástase significativa das suturas zigomático-frontal (ZF) ou zigomático-maxilar (ZM).

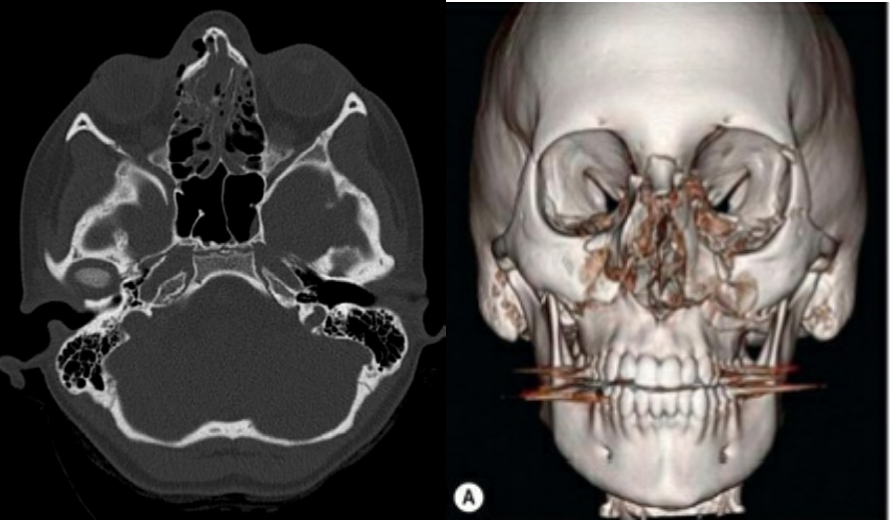
- Fratura de Maxila (Classificação de Le Fort): São fraturas de alto impacto que seguem padrões previsíveis, classicamente descritos por René Le Fort.
- Le Fort I: Fratura transversal que separa o processo alveolar do restante da maxila. Causa principalmente mal-oclusão.
- Le Fort II: Fratura piramidal que se estende da região pterigoide, através do assoalho da órbita, até a raiz do nariz.
- Le Fort III: Conhecida como disjunção craniofacial, representa uma separação completa entre os ossos da face e a base do crânio. Resulta em alongamento e retração da face. As fraturas Le Fort II e III podem estar associadas a fístula liquórica.

- Fratura de Mandíbula: É o único osso móvel da face. As regiões de corpo e ângulo são as mais suscetíveis a fraturas. O sinal clínico cardinal é a mal-oclusão, acompanhada de dor, trismo e possível parestesia do lábio inferior por lesão do nervo alveolar inferior. A “favorabilidade” da fratura depende da sua direção em relação às forças exercidas pelos músculos da mastigação (temporal, masseter, pterigoideo), que podem tender a deslocar ou a estabilizar os fragmentos.

Abordagem da Paralisia Facial
A paralisia do nervo facial (VII par craniano) é uma condição debilitante com etiologias diversas. Nesse post já falamos um pouco das variadas manifestações da paralisia, mas vamos explorar mais de sua visão cirúrgica! Sua abordagem exige um profundo conhecimento da anatomia e das opções de reanimação facial.
Anatomia e Etiologia
O nervo facial possui uma complexa anatomia funcional:
- Divisão Motora: Responsável pela inervação dos músculos da mímica facial (voluntária) e das glândulas lacrimais e salivares (visceral).
- Divisão Sensitiva: Promove a sensibilidade de parte do meato auditivo externo e da concha auricular (geral) e a gustação dos dois terços anteriores da língua através do nervo corda do tímpano (especial).
As causas da paralisia são classificadas conforme a localização da lesão:
- Intracraniana: Tumores, anormalidades vasculares, trauma.
- Intratemporal: Paralisia de Bell (causa mais comum, idiopática), infecções virais (VZV, HSV), fraturas do osso temporal.
- Extratemporal: Trauma penetrante, tumores da glândula parótida, iatrogenia.
A Paralisia de Bell responde por mais de 50% dos casos, sendo uma condição benigna com recuperação espontânea em mais de 70% dos pacientes. O tratamento é conservador, geralmente com um curso curto de corticoterapia para reduzir a neurite.
Diagnóstico e Princípios de Tratamento
O diagnóstico é primariamente clínico. A avaliação da mímica facial por território dos ramos do nervo facial é essencial:
- Ramo Temporal: Testa-se pedindo ao paciente para franzir a testa.
- Ramo Zigomático-Bucal: Avalia-se a capacidade de fechar os olhos com força e sorrir.
- Ramo Marginal da Mandíbula: Observa-se a capacidade de mostrar os dentes inferiores.

A prioridade absoluta no tratamento é a proteção da córnea. A incapacidade de fechar o olho (lagoftalmo) expõe a córnea ao ressecamento e a úlceras, podendo levar à cegueira. Medidas clínicas iniciais incluem o uso de lubrificantes, pomadas e oclusão palpebral durante o sono.
Exames como a eletroneuromiografia e a eletromiografia podem ser solicitados em casos prolongados (>3 semanas) para avaliar o prognóstico e a viabilidade muscular, guiando a decisão cirúrgica.
Tratamento Cirúrgico (Reanimação Facial)
O tratamento cirúrgico é estratificado com base na duração da paralisia, que determina a viabilidade da musculatura facial.
1. Musculatura Viável (< 18-24 meses)
O objetivo é a reinervação.
- Reparo Primário ou Enxerto de Nervo: Se os cotos proximal e distal do nervo facial estão presentes, pode-se realizar a neurorrafia primária ou interpor um enxerto de nervo (geralmente o nervo sural).
- Transferências Nervosas: Quando o coto proximal não está disponível.
- Cross-face (Contralateral): Utiliza-se um enxerto de nervo para conectar um ramo do nervo facial do lado são ao nervo facial do lado paralisado. É a melhor opção para restaurar o sorriso espontâneo, embora a reinervação possa levar em média 6 meses.
- Cross-over (Ipsilateral): Utilizam-se nervos motores adjacentes (como o nervo do masseter ou o hipoglosso) para inervar o coto distal do nervo facial. A reinervação é mais rápida, mas o sorriso torna-se voluntário e não espontâneo (o paciente precisa morder para sorrir).
2. Musculatura Inviável (> 18-24 meses)
O objetivo é a substituição muscular ou a suspensão estática.
- Procedimentos Estáticos: Não restauram o movimento, mas melhoram a simetria em repouso e a funcionalidade.
- Peso de Ouro: Implante de um pequeno peso de ouro na pálpebra superior para auxiliar no fechamento ocular por ação da gravidade.

- Slings Estáticos: Utilização de fáscia ou tendão (ex: palmar longo) para suspender o ângulo da boca e o sulco nasogeniano.
- Procedimentos Dinâmicos: Restauram o movimento através da transferência de músculos funcionantes.
- Retalhos Musculares Regionais: Transferência dos músculos temporal ou masseter para o ângulo da boca. O movimento facial é ativado pela contração voluntária desses músculos da mastigação.
- Retalho Microcirúrgico Livre: Transferência de um músculo de outra parte do corpo (ex: músculo grácil) para a face, com microanastomose de seus vasos e nervos. É a técnica mais complexa e indicada para pacientes jovens, podendo ser combinada com um enxerto cross-face para alcançar um sorriso espontâneo.

Confira mais notícias e prepare-se para as provas de residência médica!
Quer saber mais? Continue acompanhando nosso blog para ficar por dentro das principais notícias sobre residência médica, editais e oportunidades que podem transformar sua carreira!

